Rev Nefrol Dial Traspl. abr.-jun. 2021; 41(2):125-129

 

Enfermedad de cambios mínimos en trasplante renal y COVID-19 | Minimal change disease in kidney transplantation and COVID-19

 

CASUÍSTA | CASE REPORT

 

Enfermedad de cambios mínimos como manifestación inicial de COVID-19 en paciente latinoamericano con trasplante renal

Minimal change disease as an initial clinical feature of COVID-19 infection in a Latin-American kidney transplant patient

Alejandro Camargo-Salamanca MD1 ORCID o, Jessica Pinto-Ramírez MD MSc1 ORCID o, Carlos Orozco-de la Hoz MD2 ORCID o, Andrea García-López MD MSc3 ORCID o, Nasly Patino-Jaramillo MD3 ORCID o, Fernando Girón-Luque MD4 ORCID o

1) Nefrología de Trasplantes, Colombiana de Trasplantes, Bogotá, Colombia mail acamargo@colombianadetrasplantes.com
2) Patología de Trasplantes, Biomolecular, Bogotá, Colombia
3) Investigación en Trasplantes, Colombiana de Trasplantes, Bogotá, Colombia
4) Cirugía de Trasplantes, Colombiana de Trasplantes, Bogotá DC, Colombia

Recibido en su forma original: 28 de agosto de 2020
En su forma corregida: 12 de septiembre de 2020
Aceptación final: 3 de octubre de 2020

Cómo citar este artículo (How to cite this article): Camargo-Salamanca A, Pinto-Ramírez J, Orozco-de la Hoz C, García-López A, Patino-Jaramillo N, Girón-Luque F. Enfermedad de cambios mínimos como manifestación inicial de COVID-19 en paciente latinoamericano con trasplante renal. Rev Nefrol Dial Traspl. 2021; 41(2):125-9.

 

 

RESUMEN

COVID-19 tiene un espectro amplio de manifestaciones clínicas, se ha descrito lesión renal aguda con evidencia de necrosis tubular aguda y diversos tipos de podocitopatías. Se presenta el caso clínico de un paciente con trasplante renal y COVID-19 que debuta con lesión renal aguda y síndrome nefrótico. Proteína C-reactiva para síndrome respiratorio agudo severo 2 en hisopado nasal es positiva y en tejido renal es negativa. Biopsia renal reporta enfermedad de cambios mínimos. A la fecha es el primer reporte de esta podocitopatía asociada a COVID-19 en paciente con trasplante renal.

PALABRAS CLAVE: trasplante de riñón; COVID-19; coronavirus; síndrome respiratorio agudo severo; SARS-CoV-2; lesión renal aguda; enfermedad cambios mínimos

 

ABSTRACT

COVID-19 disease is a systemic infection associated with renal damage leading to acute kidney injury with acute tubular necrosis and several types of podocytopathies. We report a clinical case in a kidney transplant patient diagnosed with COVID-19 disease, acute kidney injury and nephrotic syndrome. SARS-CoV 2 PCR results in nasal swab was positive and kidney was negative. Renal histopathologic findings described minimal change disease. So far, this case is the first clinical report of minimal change disease associated to COVID-19 in a kidney transplant patient.

KEYWORDS: renal transplant; COVID-19; coronavirus; SARS-CoV-2; severe acute respiratory syndrome; acute kidney injury; minimal change disease

 

 

 

INTRODUCCIÓN

COVID-19 tiene un espectro amplio de manifestaciones clínicas. Hasta la fecha no hay vacuna ni tratamiento efectivo.(1) La lesión renal aguda (LRA) en COVID-19 tiene una frecuencia aproximada del 30% y se acompaña de alteraciones de diversa severidad en el sedimento urinario (hematuria, proteinuria y cilindruria).(2-3) En el paciente séptico por COVID-19, la LRA ocurre por disfunción endotelial, hipercoagulabilidad y pérdida de la regulación del sistema inmune, que se manifiesta, en algunos casos, como tormenta de citocinas o síndrome hemofagocítico.(4) Como la proteína espiga (S, spike) del síndrome respiratorio agudo severo 2 (SARS-CoV-2) se une a la enzima convertidora de angiotensina 2, este virus podría infectar directamente a los podocitos a y células tubulares proximales, sin embargo, aún no es claro si genera enfermedad, en otras palabras, aunque haya evidencia de partículas virales dentro de los podocitos y de las células epiteliales, no hay evidencia de replicación activa o efecto citolítico.(5)

En los reportes patológicos se encuentra con frecuencia necrosis tubular aguda y hay algunos reportes de glomerulopatía colapsante en pacientes afroamericanos, tanto en pacientes no trasplantados(6) como trasplantados.(7) Además, en una cohorte de pacientes con COVID-19, predominantemente no trasplantados, a quienes se realiza biopsia renal por indicación médica, se reporta podocitopatía en cinco pacientes, cuatro con glomeruloesclerosis focal y segmentaria (GFS) y uno con enfermedad de cambios mínimos (ECM), todos afroamericanos con genotipo de alto riesgo para APOL1 y dos casos de proliferación mesangial no específica.(5)

Presentamos el caso de un paciente latinoamericano con trasplante renal con COVID-19 que debuta con LRA AKIN 3 y proteinuria en rango nefrótico por ECM. Para la publicación de este reporte de caso se obtuvo el consentimiento informado de la esposa del paciente, se salvaguardó su privacidad y se reportó de acuerdo con la legislación ética y la Declaracion de Helsinki.

 

CASO CLÍNICO

Hombre de 43 años, natural de Los Teques, estado de Miranda (Venezuela), procedente de Bogotá DC (Colombia), que es evaluado en consulta mensual programada virtual donde refiere cuadro de seis días de tos seca, astenia y orina espumosa. No manifiesta fiebre ni otros síntomas respiratorios, gastrointestinales ni urinarios. Trabaja como vendedor informal. Antecedente de enfermedad renal crónica por GFS con trasplante renal de donante vivo relacionado (18/11/2015), adherente a inmunosupresión con micofenolato 720 mg/12h, tacrolimus 2 mg/12h y prednisolona 5 mg/día. No refiere consumo de alcohol o cigarrillo ni alergias, tampoco otros antecedentes relevantes. La creatinina basal es 1,1 mg/dl (junio 2020), el parcial de orina basal es normal (junio 2020) y la proteinuria basal de 24h es de 180 mg (abril 2020).

El paciente es remitido al Servicio de Urgencias, donde ingresa con los siguientes signos vitales: TA 117/76 mm Hg, FC 85/minuto, FR 20/minuto, T 36,3°C, IMC 21,2 kg/m2 , saturación oxígeno del 95% con FiO2 de 0,21, evidencia de estertores bibasales sin otros hallazgos relevantes al examen físico. Al ingreso se encuentra con hemograma: leucocitos 6950/mm3, linfocitos 640/mm3, Hb 15,7 g/dl, plaquetas 289000/mm3, creatinina 6,3 mg/dl, BUN 67 mg/dl, LDH 450 U/l, proteína c-reactiva (PCR) 28,1 mg/l, troponina T 0,016 ng/ml, dímero D 1096 ng/ml, ferritina 2602 ng/ml, albúmina 2 g/dl, colesterol total 213 mg/dl, colesterol alta densidad (HDL) 38,8 mg/dl, colesterol baja densidad (LDL) 130 mg/dl y triglicéridos 223 mg/dl, C3 108,3 mg/dl, C4 42,7 mg/dl, RPR no reactivo, se descarta hepatitis, B, C y VIH. Parcial de orina con hematuria microscópica y proteinuria 300 mg/dl. Recolección de orina de 2240 ml/24h con recuento de proteinuria de 25860 mg/24h. Radiografía de tórax con opacidades reticulares basales periféricas de predominio derecho. TAC de tórax de alta resolución con opacidades en "vidrio esmerilado", de distribución periférica en parches, comprometiendo ambos campos pulmonares, la puntuación semicuantitativa de severidad es de 6/25, para una extensión aproximada de compromiso pulmonar del 24%. PCR para SARS-Cov-2 en hisopado nasal es positiva.

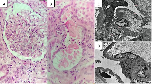
Se considera COVID-19, LRA AKIN 3 y proteinuria en rango nefrótico. Se suspende micofenolato y continúa con dosis usual de tacrolimus. No se instaura tratamiento empírico adicional. Se inicia terapia de soporte renal intermitente y se realiza biopsia de injerto renal (Figura 1) que reporta en la coloración de hematoxilina eosina (H&E) y especiales (PAS, tricrómico y plata metenamina) 6 glomérulos evaluables, sin evidencia de glomérulos con esclerosis segmentaria o global, sin evidencia de ensanchamiento de la matriz ni tampoco hipercelularidad, membranas basales sin engrosamiento ni desdoblamiento, no hay evidencia de inflamación glomerular, no hay evidencia de necrosis, crescencias, trombos, adhesiones, material hialino o fibrosis periglomerular. En los túbulos hay severa y extensa necrosis tubular aguda que afecta el 60% del total de los túbulos evaluados. Presencia de detritus, desprendimiento del epitelio tubular, pérdida del borde en cepillo y aplanamiento epitelial, dilatación de la luz. No hay evidencia de tubulitis ni atrofia. En el intersticio existen linfocitos ocasionales de distribución focal sin tubulitis. Algunos neutrófilos en capilares peritubulares. Edema del intersticio. Se observa una arteria sin alteraciones. La inmunofluorescencia es negativa para IgA, IgG, IgM, C3, C4, C1q y fibrinógeno. La microscopía electrónica (ME) reporta membrana basal capilar con espesor de 265 a 430 nm, sin evidencia de desdoblamiento o depósitos, hay pérdida de pedicelos presente en el 90% de la superficie capilar evaluada, transformación vellosa marcada difusa e hipertrofia marcada difusa sin evidencia de desprendimiento, con incremento de vacuolas citoplasmáticas. En conclusión, corresponde a ECM. También se realizó PCR para SARS-Cov-2 en el tejido renal, la cual fue negativa.

Al cabo de seis días de hospitalización progresa a insuficiencia respiratoria aguda hipoxémica que requiere ventilación mecánica. Adicionalmente presenta fungemia por Cryptococcus neoformans. Después de dos semanas de estancia en la unidad de cuidado intensivo fallece.

 

f1

Figura 1. Necrosis tubular aguda y enfermedad de cambios mínimos. A. Glomérulo normal. H&E, 40X B. Necrosis del epitelio tubular, pérdida del borde en cepillo, desprendimiento con material fibrinoide y detritus en la luz. H&E, 40X C y D. Pérdida difusa y extensa de pedicelos afectando la mayoría de las asas capilares representadas. No se evidencia desprendimiento del podocito

 

DISCUSIÓN

Es pertinente reportar este caso dado que corresponde a una manifestación clínica inusual de COVID-19 en un paciente latinoamericano con trasplante renal.

La ECM es una podocitopatía que en la microscopía de luz no muestra evidencia de lesiones glomerulares y únicamente por medio de la microscopía electrónica se encuentra pérdida de los pedicelos.(8) Algunos pacientes con biopsia inicial que reportan ECM progresaron a glomeruloesclerosis focal y segmentaria, sin embargo, no fue posible continuar con el seguimiento. Debido a la presentación súbita y que al momento de la evaluación inicial presenta una manifestación leve de COVID-19, es probable que la podocitopatía se haya desencadenado por un factor circulante aún desconocido.(9)

En la necrosis tubular aguda se encuentra una significativa vasoconstricción con inflamación local y obstrucción tubular, favorecida por la acumulación de residuos de diferente origen (células y proteínas) y pérdida de polaridad del borde apical.(4) En este caso no hay evidencia de microangiopatía trombótica ni de inflamación local, lo que sugiere que el mecanismo que genera la necrosis tubular aguda está asociado a dos factores: primero, la inflamación sistémica ocasionada por COVID-19, que podría ser similar al encontrado en LRA desencadenada por sepsis por otros microorganismos, y segundo, a la proteinuria significativa ocasionada por la podocitopatía.

A la fecha no conocemos algún reporte de enfermedad de cambios mínimos en paciente latinoamericano con trasplante renal. Con respecto a los inmunosupresores,(10) específicamente los inhibidores de calcineurina e inhibidores de la Inosina-5-Monofosfato Deshidrogenasa (IMPDH), no hay certeza acerca del efecto frente a COVID-19 ni tampoco sobre el desarrollo de podocitopatías o alteraciones tubulares.

Por otro lado, la PCR para SARS-Cov-2 en el tejido renal fue negativa en el presente caso. Este hallazgo puede ser debido a que los tejidos fijados con parafina han reportado sensibilidad del 85,7% y especificidad del 53,3% en comparación con una mayor especificidad si se realiza hibridación in situ, sensibilidad del 86% y especificidad del 100%, lo que indica un bajo rendimiento en la PCR en el tejido.(11) Otra posibilidad es que el virus genere lesión renal de forma indirecta a través de la correspondiente respuesta inmune sistémica.(12)

Aunque el paciente no presentó compromiso sistémico significativo al momento de la valoración inicial, sí presentó LRA severa con proteinuria en rango nefrótico. Valdría la pena detectar tempranamente la LRA en pacientes con trasplante renal que presenten COVID-19, especialmente cuando sean asintomáticos o levemente sintomáticos. En orina han descrito la presencia de algunas proteínas que pueden ser biomarcadores útiles para este propósito.(13-14)

Finalmente, este paciente no recibió tratamiento para la enfermedad de cambios mínimos debido a la severidad del COVID-19. Aún no se encuentra definido el tratamiento de las glomerulopatías asociadas a COVID-19 en pacientes con trasplante renal.

 

CONCLUSIÓN

La podocitopatía asociada a COVID-19 es una presentación atípica de esta infección, sin manejo definido en pacientes con trasplante renal, con una necesidad clara de diagnóstico temprano y que podría aportar a un mejor entendimiento de las manifestaciones extrapulmonares de la enfermedad por COVID-19.

 

Conflicto de intereses: Los autores declaran no poseer ningún interés comercial o asociativo que presente un conflicto de intereses con el trabajo presentado.
Financiamiento: Este estudio fue financiado por Colombiana de Trasplantes. 

 

BIBLIOGRAFÍA

1) Ronco C, Reis T, Husain-Syed F. Management of acute kidney injury in patients with COVID-19. Lancet Respir Med. 2020;8(7):738-42. doi: 10.1016/S2213-2600(20)30229-0.

2) Hong D, Long L, Wang AY, Lei Y, Tang Y, Zhao JW, et al. Kidney manifestations of mild, moderate and severe coronavirus disease 2019: a retrospective cohort study. Clin Kidney J. 2020;13(3):340-6. doi: 10.1093/ckj/sfaa083.

3)Lubetzky M, Aull MJ, Craig-Schapiro R, Lee JR, Marku-Podvorica J, Salinas T, et al. Kidney allograft recipients, immunosuppression, and coronavirus disease-2019: a report of consecutive cases from a New York City transplant center. Nephrol Dial Transplant. 2020;35(7):1250-61. doi: 10.1093/ndt/gfaa154.

4) Batlle D, Soler MJ, Sparks MA, Hiremath S, South AM, Welling PA, et al.; COVID-19 and ACE2 in Cardiovascular, Lung, and Kidney Working Group. Acute kidney injury in COVID-19: emerging evidence of a distinct pathophysiology. J Am Soc Nephrol. 2020;31(7):1380-3. doi: 10.1681/ASN.2020040419.

5) Kudose S, Batal I, Santoriello D, Xu K, Barasch J, Peleg Y, et al. Kidney biopsy findings in patients with COVID-19. J Am Soc Nephrol. 2020;31(9):1959-68. doi: 10.1681/ASN.2020060802.

6) Larsen CP, Bourne TD, Wilson JD, Saqqa O, Sharshir MA. Collapsing glomerulopathy in a patient with coronavirus disease 2019 (COVID-2019). Kidney Int Rep. 2020;5(6):935-9. doi: 10.1016/j.ekir.2020.04.002.

7) Lazareth H, Péré H, Binois Y, Chabannes M, Schurder J, Bruneau T, et al. COVID-19-related collapsing glomerulopathy in a kidney transplant recipient. Am J Kidney Dis. 2020;76(4):590-4. doi: 10.1053/j.ajkd.2020.06.009.

8) Ahn W, Bomback AS. Approach to diagnosis and management of primary glomerular diseases due to podocytopathies in adults: core curriculum 2020. Am J Kidney Dis. 2020;75(6):955-64. doi: 10.1053/j.ajkd.2019.12.019.

9) Wada T, Nangaku M. A circulating permeability factor in focal segmental glomerulosclerosis: the hunt continues. Clin Kidney J. 2015;8(6):708-15. doi: 10.1093/ckj/sfv090.

10) Lai Q, Spoletini G, Bianco G, Graceffa D, Agnes S, Rossi M, et al. SARS-CoV2 and immunosuppression: A double-edged sword. Transpl Infect Dis. 2020;22(6):e13404. doi: 10.1111/tid.13404.

11) Massoth LR, Desai N, Szabolcs A, Harris CK, Neyaz A, Crotty R, et al. Comparison of RNA in situ hybridization and immunohistochemistry techniques for the detection and localization of SARS-CoV-2 in human tissues. Am J Surg Pathol. 2021;45(1):14-24. doi: 10.1097/PAS.0000000000001563.

12) Lazareth H, Péré H, Binois Y, Chabannes M, Schurder J, Bruneau T, et al. COVID-19-related collapsing glomerulopathy in a kidney transplant recipient. Am J Kidney Dis. 2020;76(4):590-4. doi: 10.1053/j.ajkd.2020.06.009.

13) Sun DQ, Wang TY, Zheng KI, Targher G, Byrne CD, Chen YP, et al. Subclinical acute kidney injury in COVID-19 patients: a retrospective cohort study. Nephron. 2020;144(7):347-50. doi: 10.1159/000508502.

14) Husain-Syed F, Wilhelm J, Kassoumeh S, Birk HW, Herold S, Vadász I, et al. Acute kidney injury and urinary biomarkers in hospitalized patients with coronavirus disease-2019. Nephrol Dial Transplant. 2020;35(7):1271-4. doi: 10.1093/ndt/gfaa162.

 

 

Esta obra está bajo una Licencia de Creative Commons Reconocimiento-No-Comercial 4.0 Internacional. Reconocimiento - Permite copiar, distribuir y comunicar públicamente la obra. A cambio se debe reconocer y citar al autor original. No comercial - Esta obra no puede ser utilizada con finalidades comerciales, a menos que se obtenga el permiso. Propiedad de la Asociación Regional de Diálisis y Trasplantes Renales de Capital Federal y Provincia de Buenos Aires.

Revista de Nefrología, Diálisis y Trasplante
ISSN 2346-8548 (electrónico) - ISSN 0326-3428 (impreso)