Rev Nefrol Dial Traspl. oct.-dic. 2020; 40(4):341-348

Enfermedad renal relacionada con la IgG4

 

 

ARTÍCULO DE REVISIÓN

 

Enfermedad renal relacionada con la inmunoglobulina G4

Inmunoglobulin G4-related kidney disease

Raquel Sánchez Oro1 ORCID o, Elsa María Alonso Muñóz2 ORCID o

1) Servicio de Radiodiagnóstico, Hospital Obispo Polanco, Teruel, España raquel_sanchez_oro@hotmail.com
2) Servicio de Radiodiagnóstico, Hospital Arnau de Vilanova, Valencia, España

 

Recibido en su forma original: 27 de noviembre de 2019
En su forma corregida: 19 de enero de 2020
Aceptación final: 3 de febrero de 2020

Cómo citar este artículo (How to cite this article): Sánchez Oro R, Alonso Muñóz EM. Enfermedad renal relacionada con la inmunoglobulina G4. Rev Nefrol Dial Traspl. 2020; 40(4):341-8.

 

 

RESUMEN

La enfermedad relacionada con la inmunoglobulina G4 (IgG4) es un proceso fibroinflamatorio relacionado con la inmumomediación. En las últimas décadas, esta enfermedad ha sido reconocida como un trastorno sistémico que engloba afecciones individuales de órganos, antes no relacionadas y conocidas como entidades independientes.

La afectación renal de la enfermedad relacionada con la IgG4 puede ser tanto sincrónica como metacrónica al compromiso de otro órgano como el que se da en la pancreatitis autoinmune, la colangitis esclerosante, la fibrosis retroperitoneal o la linfadenopatía relacionadas con IgG4. En esta revisión presentamos las manifestaciones más frecuentes de la afectación renal por la enfermedad relacionada con IgG4, destacando el papel que tienen las pruebas de imagen. El tratamiento tanto de la enfermedad relacionada con IgG4 en general como de la afectación renal en particular son los glucocorticoides. Es importante conocer esta enfermedad, sospecharla y realizar un diagnóstico precoz y preciso.

PALABRAS CLAVE: inmunoglobulina G4; enfermedad renal relacionada con IgG4

 

ABSTRACT

Immunoglobulin G4-related disease (IgG4-RD) is an immunomediated fibroinflammatory process. In the last few decades, this disease has been recognized as a systemic disorder encompassing individual involvement of organs, previously unrelated and known as independent entities.

Renal involvement in IgG4-RD may be both synchronous and metachronous to other organ compromise, such as that seen in autoimmune pancreatitis, sclerosing cholangitis, retroperitoneal fibrosis, or IgG4-related lymphadenopathy. In this review we present the most frequent manifestations of renal involvement due to IgG4-RD, highlighting the role of imaging tests. The treatment of both IgG4-RD in general and renal involvement in particular are glucocorticoids.  It is important to know about this disease, be suspicious about it and make an early and accurate diagnosis.

KEYWORDS: inmunoglobulin G4; IgG4; IgG4-related kidney disease

 

 

INTRODUCCIÓN

La enfermedad relacionada con la inmunoglobulina G4 (ER-IgG4) es un proceso fibroinflamatorio donde se ve involucrada la inmumomediación. Puede afectar a múltiples órganos, condicionar en ellos lesiones tumefactivas, destructivas y fallo orgánico.(1) En las últimas décadas, esta enfermedad ha sido reconocida como un trastorno sistémico que engloba afecciones individuales de órganos, antes no relacionadas y conocidas como entidades independientes.

Las características comunes compartidas por las distintas entidades que componen la ER-IgG4 son: cifras elevadas de IgG4 sérica, alteraciones en las pruebas de imagen con tumefacción de aspecto neoplásico de los órganos afectados, características histopatológicas propias y en inmunotinción, y buena respuesta al tratamiento con glucocorticoides.(2)

Como breve recuerdo histórico, la pancreatitis autoinmune (PAI) es una enfermedad fibroinflamatoria benigna del páncreas descrita por primera vez en 1961 como un caso de pancreatitis asociada a hipergammaglobulinemia. En 1995, Yoshida et al. propusieron el concepto de PAI.(3) Dicha enfermedad se relacionó con la presencia de IgG4 sérica en 2001. Posteriormente, en el año 2003, se observó que los pacientes con PAI tipo 1 tenían lesiones fibroinflamatorias ricas en células IgG4, tanto sincrónicas como metacrónicas, en otros órganos. Este hecho amplió el concepto de una enfermedad local a una enfermedad multiorgánica o sistémica.(4)

Las primeras referencias al riñón datan de 2004 en Japón, donde se publicó un caso de nefritis tubulointersticial (NTI) no granulomatosa en un paciente con PAI relacionada con IgG4.(5) En el simposio internacional de Boston de octubre de 2011 se propuso el término de ER-IgG4 y en 2012 se elaboró el primer documento de consenso sobre la enfermedad.(4)

Actualmente la ER-IgG4 ha sido descrita prácticamente en cualquier órgano además del páncreas, como por ejemplo: vía biliar, glándulas salivares, tejidos periorbitarios, hipófisis, riñones, pulmones, ganglios linfáticos, meninges, mama, próstata, tiroides, pericardio y piel, con similares características histológicas.(4)

 

EPIDEMIOLOGÍA

De acuerdo a diversos estudios la afectación renal aparece entre el 20 y el 35% de los pacientes con PAI tipo 1. Es más frecuente en varones (75-85% de los casos) de entre 60-70 años. Se ha descrito que es una enfermedad más prevalente en poblaciones asiáticas, especialmente Japón, desconociéndose la posible existencia de causas genéticas que justificasen la diferencia respecto a la prevalencia en poblaciones occidentales, y hasta qué punto esta diferencia de prevalencia se podría achacar a ser una enfermedad infradiagnosticada.(6-9)

 

MANIFESTACIONES CLÍNICAS Y ANALÍTICAS

Es frecuente que las lesiones que caracterizan a la ER-IgG4 aparezcan de forma subaguda y los pacientes no desarrollen síntomas constitucionales. De acuerdo a varios estudios entre un 10-40% de los pacientes sí pueden presentarse sintomáticos.(10-13) En estos casos la ER-IgG4 se manifiesta clínicamente como un cuadro constitucional con fatiga, fiebre, anorexia y elevación de reactantes de fase aguda.(14)

La afectación renal puede aparecer como una insuficiencia renal aguda o crónica progresiva (77%) con afectación extrarrenal (83%), generalmente multiorgánica. En el 70% de los casos se ha observado proteinuria < 1 gr/24 hs y microhematuria en el 22%.(13)

Además de la afectación parenquimatosa renal, otra forma de presentación de la ER-IgG4 la uropatía obstructiva que puede ser secundaria tanto a pseudotumores renales, a fibrosis retroperitoneal por IgG4, a pielitis crónica esclerosante, que es una masa inflamatoria que afecta a la pelvis renal, al pseudotumor ureteral inflamatorio o a la prostatitis por IgG4.(15-18)

Según la revisión más amplia de pacientes con ER-IgG4 realizada por Saeki et al., sobre un total de 153 pacientes, el 70% mostraron niveles plasmáticos elevados de IgG4, hipergammaglobulinemia e hipocomplementemia.(6, 19-20) El aumento de IgG4 en suero (> 135 mg/dL) es el marcador diagnóstico más importante y ocurre como hallazgo aislado en el 80% de los casos, aunque no es exclusivo de la afectación renal, ya que también se detecta si son otros los órganos afectados por la ER-IgG4. Sus niveles no se relacionan con el grado de actividad, pero sí son útiles para el seguimiento.(21-22)

Sobre los autoanticuerpos se ha descrito que en un 30% de los casos pueden presentar ANA a título bajo. Siendo el resto de los autoanticuerpos negativos.(6, 21) Otro hallazgo analítico interesante es, que como informaron Wallace et al., el número de plasmoblastos IgG4 circulantes analizados por citometría de flujo aumenta cuando la ER-IgG4 está activa, incluso en pacientes con concentraciones normales de IgG4 sérica, por lo que puede ser un biomarcador interesante para el diagnóstico, para valorar la respuesta al tratamiento e indicar un tratamiento precoz en las recidivas.(23)

 

HALLAZGOS EN LAS PRUEBAS DE IMAGEN

En este contexto, la afectación renal por ER-IgG4 puede identificarse como un hallazgo incidental en las pruebas de imagen que se realizan en un paciente con sospecha o no de ER-IgG4, o identificarse cuando se ha desarrollado ya disfunción renal con empeoramiento del filtrado glomerular y elevación de niveles séricos  de creatinina.(21, 24) Aunque la forma más frecuente de presentación es como una nefritis tubulointesticial, también se han descrito casos de afectación renal en forma de glomerulonefritis membranosa, glomerulonefritis por inmunoglobulina A (IgA) e inespecífica (menos frecuentes).(25-26)

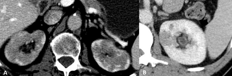
Las lesiones renales en la ER-IgG4 presentan varios patrones de afectación en las pruebas de imagen. La prueba de imagen más utilizada para el estudio de esta enfermedad por su mayor fiabilidad, reproductibilidad y accesibilidad es la tomografía computarizada multidetector (TCMD). Pudiendo presentarse como:

 

f1

Figura 1. Diferentes formas de presentación de la afectación renal por IgG4. A. Imagen de TCMD en el que se observa un afectación cortical bilateral difusa, con lesiones en cuña hipodensas. B. Lesión redondeada cortical hipodensa simulando una tumoración renal

 

La resonancia magnética (RM) y la tomografía por emisión de positrones-tomografía computarizada (PET-TC) son también dos técnicas muy útiles aunque menos accesibles. En la RM son especialmente interesantes las secuencias de difusión. En este tipo de secuencias se puede observar un aumento de la restricción de la difusión con valores b altos, que se corresponden con valores bajos en el mapa ADC (mapa de coeficiente de difusión aparente), siendo estas secuencias superiores a las morfológicas en la detección de lesiones parenquimatosas precoces.(30)

Respecto a la PET-TC, se ha demostrado un aumento en la captación de fluorodexosiglucosa durante la fase activa de la enfermedad, con remisión de la misma tras el tratamiento corticoideo. Siendo una técnica de imagen que se puede solicitar para el estadiaje inicial, para localizar órgano diana para biopsiar y para evaluar la respuesta al tratamiento.

En varios trabajos se ha descrito la medición de los valores de captación estándar (SUV, por sus siglas en inglés “standard uptake value”) en el páncreas y el hígado, estos valores podrían ser de utilidad para diferenciar PAI y cáncer.(9, 31) A nivel renal se ha descrito una disminución de la actividad metabólica tras el tratamiento corticoideo.(32)

 

HISTOPATOLOGÍA

La histopatología actualmente es la clave del diagnóstico. Si bien no existen criterios histológicos establecidos por consenso, las tres características patológicas de la ER-IgG4 son:

Infiltración linfoplasmocítica. La infiltración es por linfocitos y células plasmáticas. Los eosinófilos suelen estar presentes, y la infiltración por neutróf1ilos es rara. La necrosis y los granulomas o cambios xantogranulomatosos son atípicos, y si están presenten sugieren otros diagnósticos.

Fibrosis estoriforme. La fibrosis es un prerrequisito para el diagnóstico, incluso en pacientes al inicio de sus síntomas. Se caracteriza por fibras de colágeno dispuestas radialmente, que parecen trenzadas sobre el tejido, y es el patrón único de esta enfermedad. Este patrón tiene una distribución parcheada, lo que puede ocasionar un error de muestreo dependiendo del material obtenido mediante biopsia con aguja.(2)

Flebitis obliterativa. Descrita como una obliteración parcial o completa de las venas de tamaño mediano, secundaria a la infiltración linfoplasmocitaria con obstrucción de la luz.

El diagnóstico histopatológico seguro suele requerir la presencia de dos de las tres características anteriormente descritas, habitualmente el infiltrado linfoplasmocitario denso y la fibrosis estoriforme. Estos hallazgos histopatológicos descritos son comunes para los distintos órganos que pueden estar afectos.(4)
En el caso de la afectación renal, la infiltración de > 10 células plasmáticas IgG4/HPF (campo de gran aumento) por biopsia con aguja, y la relación IgG4/IgG > 40% son muy características, aunque no exclusivas. También se ha observado infiltración por IgG4 en otras enfermedades renales como la glomerulonefritis necrotizante pauciinmune con semilunas y en la NTI autoinmune y la inducida por drogas.(13, 19, 33)

Desde el punto de vista histológico podemos diferenciar las lesiones tubulointersticiales, las más frecuentes, también conocidas como NTI, las lesiones glomerulares y las lesiones vasculares.(13)

En la NTI-IgG4 predominan los infiltrados linfoplasmocitarios ricos en células plasmáticas IgG4 (sin atipias) y la fibrosis se extiende desde el parénquima a la pelvis renal y al tejido adiposo perirrenal. En este tipo de lesiones predomina la fibrosis estoriforme comentada previamente. Se puede identificar desde un denso infiltrado celular con poca fibrosis hasta un patrón paucicelular densamente fibrótico, que empuja, destruye y atrofia los túbulos. Sin embargo, en otros pacientes la atrofia es mínima y lo que se observa son nidos de células inflamatorias con fibras irregulares alrededor que recuerdan el ojo de un pájaro. Otros hallazgos que se pueden ver son la infiltración por eosinófilos, la distribución regional de las lesiones y la extensión a la cápsula renal. La flebitis obliterante es rara en la NTI-IgG4.(4, 6, 13, 33-35)

En las lesiones glomerulares se observan asas capilares engrosadas en el glomérulo y con las tinciones de plata metenamina y ácido periódico de Schiff (PAS) se observan los spikes en la membrana basal glomerular. Con el tricómico de Mason se ven depósitos subepiteliales (inmunocomplejos) y se puede ver también un patrón segmentario de hipercelularidad endocapilar.(13, 26)

Menos frecuentes son las lesiones vasculares que se presentan como una arteritis renal en pacientes con NTI-IgG4, con inflamación de la íntima, media y adventicia por células plasmáticas y linfocitos.(36)

 

CRITERIOS DIAGNÓSTICOS

Los criterios histopatológicos fueron los primeros en establecerse, pero hay que considerar que para poder realizar el estudio histológico se necesita llevar a cabo un procedimiento invasivo como es la biopsia, con sus riesgos de complicaciones según el órgano afecto, cada vez menores pero no por ello despreciables. Esto hace necesario que además de considerar los criterios histopatológicos se propongan otros criterios clínicos y radiológicos de tal manera que si se cumplen estos no sea necesario realizar un procedimiento invasivo como por ejemplo la biopsia renal.(37) Diversos investigadores han propuesto los siguientes criterios:

 

DIAGNÓSTICO DIFERENCIAL

Clínicamente el diagnóstico diferencial se ha de realizar con otras enfermedades sistémicas como el lupus eritematoso sistémico, el síndrome de Sjögren, la crioglobulinemia, la granulomatosis con poliangeitis (previamente conocida como Granulomatosis de Wegener), la sarcoidosis, la nefropatía diabética,  la NTI inducida por drogas, la glomerulonefritis membranosa idiopática y la glomerulonefritis necrotizante pauciinmume.(2, 21, 33-34)

Radiológicamente, el diagnóstico diferencial también es amplio y depende de la morfología de las lesiones en la prueba de imagen. Así, cuando la afectación renal es nodular y bilateral, el diagnóstico diferencial hay que realizarlo con lesiones metastásicas, linfoma, pielonefritis bilateral y embolismo séptico, entre otros. Si es una lesión única unilateral tipo masa puede simular un carcinoma de células renales y si se manifiesta como un engrosamiento focal en la pelvis puede simular un carcinoma de células transicionales. Si la lesión tiene una morfología en cuña puede similar un foco de pielonefritis único o incluso un infarto renal.(9)

El análisis conjunto de las características clínicas, serológicas y radiológicas es necesario para acotar el diagnóstico diferencial y para determinar si es necesario el estudio histológico y de que órgano obtenerlo.

 

TRATAMIENTO

El tratamiento tanto de la ER-IgG4 en general como de la afectación renal en particular son los glucocorticoides, recomendándose como primera opción en todos los casos. Es importante, una vez diagnosticada la enfermedad, iniciar el tratamiento lo antes posible, con el objetivo de prevenir el desarrollo de daño orgánico irreversible (fibrosis), y también es importante mantener el tratamiento una vez conseguida la remisión para evitar las recaídas. Una alternativa al uso de los glucocorticoides es el rituximab, siendo excepcional el manejo consistente en asociar los glucocorticoides a la azatioprina o micofenolato.(13, 22, 40)

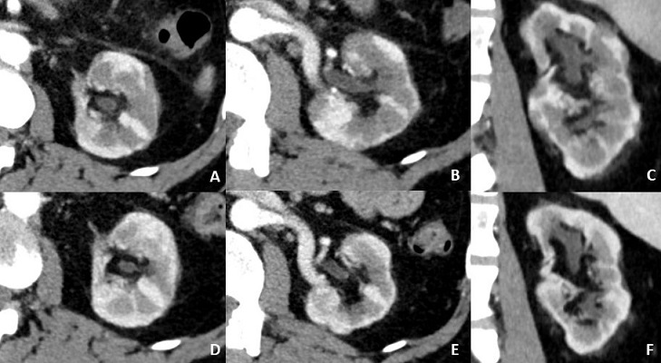
Tras el tratamiento las lesiones pueden desaparecer y condicionar una cicatriz cortical residual.(13) Aunque la NTI no tratada de tiempo de evolución puede ocasionar enfermedad renal crónica irreversible que se manifestará en las pruebas de imagen como un adelgazamiento del espesor cortical irreversible.(1) (Figura 2)

 

f2

Figura 2. TCMD. A, B y C: Lesiones hipodensas corticales renales en paciente con afectación renal por ER-IgG4 antes de iniciar tratamiento corticoideo. D, E y F: Resolución de las lesiones tras tratamiento con corticoides con disminución del espesor cortical residual

 

CONCLUSIÓN

La afectación renal de la ER-IgG4 puede ser tanto sincrónica como metacrónica al compromiso de otro órgano, puede ser tanto la primera manifestación de dicha enfermedad o desarrollarse en un paciente ya diagnosticado de este proceso sistémico.

La clave para la sospecha diagnóstica es la afectación multiorgánica, una historia clínica previa de PAI o ambas. La evaluación más precisa de la ER-IgG4 se basa en una exhaustiva historia clínica, la exploración física, pruebas de laboratorio seleccionadas, hallazgos típicos en histopatología y estudios radiológicos apropiados.

Es importante conocer esta enfermedad, sospecharla y realizar un diagnóstico precoz y preciso. De este modo, si se consigue instaurar un correcto tratamiento precozmente se puede evitar por una parte el desarrollo de daño renal irreversible. Y por otra parte, evitar realizar un diagnóstico erróneo de otras patologías con las que hay que plantear un diagnóstico diferencial, fundamentalmente las neoformaciones renales, ya que estas últimas en un porcentaje de casos importantes se extirpan quirúrgicamente sin estudio anatomopatológico previo, en función únicamente de los hallazgos en las pruebas de imagen. Mientras que las lesiones renales por ER-IgG4 responderán al tratamiento con glucocorticoides.

 

Conflicto de intereses: Los autores declaran no poseer ningún interés comercial o asociativo que presente un conflicto de intereses con el trabajo presentado.

 

BIBLIOGRAFÍA

1) Khosroshahi A, Wallace ZS, Crowe JL, Akamizu T, Azumi A, Carruthers MN, et al. International Consensus Guidance Statement on the Management and Treatment of IgG4-Related Disease. Arthritis Rheumatol. 2015;67(7):1688-99. doi: 10.1002/art.39132.

2) Kamisawa T, Zen Y, Pillai S, Stone JH. IgG4-related disease. Lancet. 2015;385(9976):1460-71. doi: 10.1016/S0140-6736(14)60720-0.

3) Yoshida K, Toki F, Takeuchi T, Watanabe S, Shiratori K, Hayashi N. Chronic pancreatitis caused by an autoimmune abnormality. Proposal of the concept of autoimmune pancreatitis. Dig Dis Sci. 1995;40(7):1561-8. doi: 10.1007/BF02285209.

4) Deshpande V, Zen Y, Chan JK, Yi EE, Sato Y, Yoshino T, et al. Consensus statement on the pathology of IgG4-related disease. Mod Pathol. 2012;25(9):1181-92. doi: 10.1038/modpathol.2012.72.

5) Uchiyama-Tanaka Y, Mori Y, Kimura T, Sonomura K, Umemura S, Kishimoto N, et al. Acute tubulointerstitial nephritis associated with autoimmune-related pancreatitis. Am J Kidney Dis. 2004;43(3):e18-e25. doi: 10.1053/j.ajkd.2003.12.006.

6) Saeki T, Nishi S, Imai N, Ito T, Yamazaki H, Kawano M, et al. Clinicopathological characteristics of patients with IgG4-related tubulointerstitial nephritis. Kidney Int. 2010;78(10):1016-23. doi: 10.1038/ki.2010.271.

7) Takahashi N, Kawashima A, Fletcher JG, Chari ST. Renal involvement in patients with autoimmune pancreatitis: CT and MR imaging findings. Radiology. 2007;242(3):791-801. doi: 10.1148/radiol.2423060003.

8) Khalili K, Doyle DJ, Chawla TP, Hanbidge AE. Renal cortical lesions in patients with autoimmune pancreatitis: a clue to differentiation from pancreatic malignancy. Eur J Radiol. 2008;67(2):329-35. doi: 10.1016/j.ejrad.2007.07.020.

9) Martínez-de-Alegría A, Baleato-González S, García-Figueiras R, Bermúdez-Naveira A, Abdulkader-Nallib I, Díaz-Peromingo JA, et al. IgG4-related Disease from Head to Toe. Radiographics. 2015;35(7):2007-25. doi: 10.1148/rg.357150066.

10) Mahajan VS, Mattoo H, Deshpande V, Pillai SS, Stone JH. IgG4-related disease. Annu Rev Pathol. 2014;9:315-47. doi: 10.1146/annurev-pathol-012513-104708.

11) Martínez-Valle F, Orozco-Gálvez O, Fernández-Codina A. Etiopatogenia, diagnóstico y tratamiento de la enfermedad relacionada con la IgG4. Med Clin (Barc). 2018;151(1):18-25. doi: 10.1016/j.medcli.2017.10.034.

12) Masaki Y, Dong L, Kurose N, Morikawa Y, Yamamoto M, Takahashi H, et al. Proposal for a new clinical entity, IgG4-positive multiorgan lymphoproliferative syndrome: analysis of 64 cases of IgG4-related disorders. Ann Rheum Dis. 2009;68(8):1310-5. doi: 10.1136/ard.2008.089169.

13) Baltar-Martin JM, García-Monteavaro C, Visus-Fernández-de Manzanos T, Parejo-García L. Afectación renal de las enfermedades relacionadas con IgG4. NefroPlus. 2015;7(1):1-10.

14) Takano K, Yamamoto M, Takahashi H, Himi T. Recent advances in knowledge regarding the head and neck manifestations of IgG4-related disease. Auris Nasus Larynx. 2017;44(1):7-17. doi: 10.1016/j.anl.2016.10.011.

15) Stone JR. Aortitis, periaortitis, and retroperitoneal fibrosis, as manifestations of IgG4-related systemic disease. Curr Opin Rheumatol. 2011;23(1):88-94. doi: 10.1097/bor.0b013e3283412f7c.

16) Kuroda N, Nakamura S, Miyazaki K, Inoue K, Ohara M, Mizuno K, et al. Chronic sclerosing pyelitis with an increased number of IgG4-positive plasma cells. Med Mol Morphol. 2009;42(4):236-8. doi: 10.1007/s00795-008-0425-8.

17) Kim SA, Lee SR, Huh J, Shen SS, Ro JY. IgG4-associated inflammatory pseudotumor of ureter: clinicopathologic and immunohistochemical study of 3 cases. Hum Pathol. 2011;42(8):1178-84. doi: 10.1016/j.humpath.2010.03.011.

18) Nakai Y, Kagebayashi Y, Matsumoto Y, Fukui S, Kim Y, Yoshimoto S, et al. IgG4-related prostatitis associated with retroperitoneal fibrosis: a case report. Hinyokika Kiyo. 2013;59(12):781-4.

19) Yamaguchi Y, Kanetsuna Y, Honda K, Yamanaka N, Kawano M, Nagata M, et al. Characteristic tubulointerstitial nephritis in IgG4-related disease. Hum Pathol. 2012;43(4):536-49. doi: 10.1016/j.humpath.2011.06.002.

20) Fernández Lorente L, López Álvarez D, García López V, Abujder Kollros V, Ariza A, Gálvez A, et al. Enfermedad relacionada con IgG4: descripción de un caso con lesiones pulmonares, adenopatías mediastínicas e insuficiencia renal rápidamente progresiva. Nefrología (Madr.). 2015;35(2):218-23.

21) Kawano M, Saeki T, Nakashima H, Nishi S, Yamaguchi Y, Hisano S, et al. Proposal for diagnostic criteria for IgG4-related kidney disease. Clin Exp Nephrol. 2011;15(5):615-26. doi: 10.1007/s10157-011-0521-2.

22) Stone JH, Zen Y, Deshpande V. IgG4-related disease. N Engl J Med. 2012;366(6):539-51. doi: 10.1056/NEJMra1104650.

23) Wallace ZS, Mattoo H, Carruthers M, Vinay S Mahajan VS, Della Torre E, Lee H, et al. Plasmablasts as a biomarker for IgG4-related disease, independent of serum IgG4concentrations. Ann Rheum Dis. 2015;74(1):190-5. doi: 10.1136/annrheumdis-2014-205233.

24) Vasaitis L. IgG4-related disease: A relatively new concept for clinicians. Eur J Intern Med. 2016;27:1-9. doi: 10.1016/j.ejim.2015.09.022.

25) Stone JH, Brito-Zerón P, Bosch X, Ramos-Casals M. Diagnostic approach to the complexity of IgG4-Related disease. Mayo Clin Proc. 2015;90(7):927-39. doi: 10.1016/j.mayocp.2015.03.020.

26) Alexander MP, Larsen CP, Gibson IW, Nasr SH, Sethi S, Fidler ME, et al. Membranous glomerulonephritis is a manifestation of IgG4-related disease. Kidney Int. 2013;83(3):455-62. doi: 10.1038/ki.2012.382.

27) Al Zahrani H, Kyoung Kim T, Khalili K, Vlachou P, Yu H, Jang HJ. IgG4-related disease in the abdomen: a great mimicker. Semin Ultrasound CT MR. 2014;35(3):240-54. doi: 10.1053/j.sult.2013.12.002.

28) Watson SJ, Jenkins DA, Bellamy CO. Nephropathy in IgG4-related systemic disease. Am J Surg Pathol. 2006;30(11):1472-7. doi: 10.1097/01.pas.0000213308.43929.97.

29) Cornell LD, Chicano SL, Deshpande V, Collins AB, Selig MK, Lauwers GY, et al. Pseudotumors due to IgG4 immune-complex tubulointerstitial nephritis associated with autoimmune pancreatocentric disease. Am J Surg Pathol. 2007;31(10):1586-97. doi: 10.1097/PAS.0b013e318059b87c.

30) Kim B, Kim JH, Byun JH, Hyoung Jung Kim HJ, Lee SS, Kim SY, et al. IgG4-related kidney disease: MRI findings with emphasis on the usefulness of diffusion-weighted imaging. Eur J Radiol. 2014;83(7):1057-62. doi: 10.1016/j.ejrad.2014.03.033.

31) Sangha Brar JS, Gupta S, Haja Mohideen SM, Liauw L, Lath N. The pancreatic and extrapancreatic manifestations of IgG4-related disease. Diagn Interv Radiol. 2018;24(2):83-8. doi: 10.5152/dir.2018.17319.

32) Cortés-Romera M, Sabaté-Llobera A, Gámez-Cenzano C, Torras-Ambròs J. Utilidad de la PET/TC en la enfermedad por IgG4. Med Clin (Barc). 2015;145(7):321-2. doi: 10.1016/j.medcli.2014.11.019.

33) Raissian Y, Nasr SH, Larsen CP, Colvin RB, Smyrk TC, Takahashi N, et al. Diagnosis of IgG4-related tubulointerstitial nephritis. J Am Soc Nephrol. 2011;22(7):1343-52. doi: 10.1681/ASN.2011010062.

34) Saeki T, Kawano M. IgG4-related kidney disease [published correction appears in Kidney Int. 2014 Jun;85(6):1472]. Kidney Int. 2014;85(2):251-7. doi: 10.1038/ki.2013.393.

35) Yamaguchi Y, Kanetsuna Y, Honda K, Yamanaka N, Kawano M, Nagata M, et al. Characteristic tubulointerstitial nephritis in IgG4-related disease. Hum Pathol. 2012;43(4):536-49. doi: 10.1016/j.humpath.2011.06.002.

36) Sharma SG, Vlase HL, D'Agati VD. IgG4-related tubulointerstitial nephritis with plasma cell-rich renal arteritis. Am J Kidney Dis. 2013;61(4):638-43. doi: 10.1053/j.ajkd.2012.07.031.

37) Carruthers MN, Stone JH, Khosroshahi A. The latest on IgG4-RD: a rapidly emerging disease. Curr Opin Rheumatol. 2012;24(1):60-9. doi: 10.1097/BOR.0b013e32834ddb4a.

38) Okazaki K, Uchida K, Miyoshi H, Ikeura T, Takaoka M, Nishio A. Recent concepts of autoimmune pancreatitis and IgG4-related disease. Clin Rev Allergy Immunol. 2011;41(2):126-38. doi: 10.1007/s12016-010-8214-2.

39) Okazaki K, Uchida K, Koyabu M, Miyoshi H, Takaoka M. Recent advances in the concept and diagnosis of autoimmune pancreatitis and IgG4-related disease. J Gastroenterol. 2011;46(3):277-88. doi: 10.1007/s00535-011-0386-x.

40) Iaccarino L, Talarico R, Scirè CA, Amoura Z, Burmester G, Doria A, et al. IgG4-related diseases: state of the art on clinical practice guidelines. RMD Open. 2019;4(Suppl. 1):e000787. doi: 10.1136/rmdopen-2018-000787.

 

 

Esta obra se encuentra bajo la Licencia de Creative Commons Reconocimiento-No-Comercial 4.0 Internacional. Reconocimiento - Permite copiar, distribuir y comunicar públicamente la obra. A cambio se debe reconocer y citar al autor original. No comercial - Esta obra no puede ser utilizada con finalidades comerciales, a menos que se obtenga el permiso.

Revista de Nefrología, Diálisis y Trasplante
ISSN 2346-8548 (electrónico) - ISSN 0326-3428 (impreso)