IMÁGENES EN NEFROLOGÍA

PDF

 

Obstructive acute kidney injury with maintenance of diuresis: a case of ureter bifidity

Lesión renal aguda obstructiva con mantenimiento de la diuresis: un caso de bifidez uretral

Francisca Gomes da Silva, Nicole Pestana, Nuno Rosa, Gil Silva

Nephrology Department, Hospital Doutor Nélio Mendonça, Funchal, Portugal (asilva19@campus.ul.pt)

 

Recibido en su forma original: 4 de julio de 2019
Aceptación final: 15 de julio de 2019

 

 

ABSTRACT

Percutaneous kidney biopsy in transplanted kidneys remains an essential and commonly performed procedure required for diagnostic and prognostic information. Hemorrhage is the main complication of renal graft biopsy.
We report a case of a 47-year-old caucasian woman admitted to perform an ultrasound (US)-guided biopsy of the renal graft. Six hours later, she presented with macroscopic hematuria which improved after urethral catheterization and intravenous hydration. However the hematuria reappeared associated with anemia and worsening of the serum creatinine value. The US study, revealed hydronephrosis with high Doppler derived renal resistive index compatible with clot obstruction. Despite the vesical lavage with drainage of several clots, the patient rapidly progressed to hemorrhagic shock with worsening of renal function. Pelvic computed tomography (CT) revealed calyx and pelvis duplicity and ureter bifidity which merged into a single ureter and inserted into the right anterolateral wall of the bladder. The inferior ureter was enlarged due to an obstructive clot.
Most acute obstructive uropathies are associated with significant pain or the abrupt diminution of urine flow. The presence of ureter bifidity in the CT study explained the maintenance of significant diuresis despite obstruction, located only to the lower ureter but with sufficient functional impact to condition acute kidney injury (AKI).

KEYWORDS: percutaneous kidney biopsy; macroscopic hematuria; hydronephrosis; acute kidney injury; obstructive uropathy; diminution of urine flow; ureter bifidity

 

RESUMEN

La biopsia renal percutánea en riñones trasplantados sigue siendo un procedimiento esencial y común, necesario para obtener información diagnóstica y pronóstica. La hemorragia es la principal complicación de la biopsia de injerto renal.
Presentamos un caso de una mujer caucásica de 47 años, quien fue hospitalizada para la realización de una biopsia de injerto renal guiada por ultrasonido (US). Seis horas después, presentó hematuria macroscópica que mejoró después de la cateterización uretral e hidratación intravenosa. Sin embargo, la hematuria reapareció asociada con anemia y empeoramiento del valor sérico de creatinina. El estudio de US reveló, mediante Doppler, una hidronefrosis con alto índice de resistencia renal, compatible con obstrucción por un coágulo. A pesar del lavado vesical con drenaje de varios coágulos, la paciente progresó rápidamente a choque hemorrágico con empeoramiento de la función renal. La tomografía computarizada (TC) pélvica reveló la duplicidad del cáliz y la pelvis y la bifidez ureteral, que se fusionó en un solo uréter y se insertó en la pared anterolateral derecha de la vejiga. El uréter inferior se agrandó debido a un coágulo obstructivo.
La mayoría de las uropatías obstructivas agudas están asociadas con dolor significativo o la disminución abrupta del flujo de orina. La presencia de la bifidez del uréter en el estudio de TC explicó el mantenimiento de una diuresis significativa a pesar de la obstrucción, localizada solo en el uréter inferior, pero con suficiente impacto funcional como para provocar insuficiencia renal aguda (IRA).

PALABRAS CLAVE: biopsia renal percutánea; hematuria macroscópica; hidronefrosis; lesión renal aguda; uropatía obstructiva; disminución del flujo de orina; bifidez uretral

 

 

INTRODUCTION

Percutaneous kidney biopsy (PKB) was originally described in 1951,and since that time, advances in this technique have preserved it as a safe and effective method for evaluating kidney disease.(1) Renal biopsies in human renal transplantation have been widely practiced since 1968, when Mathew et al. reported the results of 26 biopsies in renal allografts, with no complications and only one instance of inadequate tissue for diagnosis.(2) PKB in transplanted kidneys remains an essential and commonly performed procedure required for diagnostic and prognostic information, as well as to guide therapeutic decision-making. This is an invasive technique and although in most cases there are no complications, there is always some risk, so it is individually indicated after assessing the risk/benefit ratio for each patient.(3) Hemorrhage is the main complication of renal graft biopsy.(4) We report a case of obstructive acute renal injury (AKI) secondary to this complication in a kidney transplant patient with bifid ureter previously unrecognized.

 

CLINICAL CASE

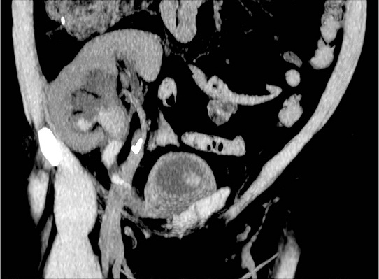
Forty-seven year-old caucasian woman, with hypertensive chronic renal disease (CKD), underwent renal replacement therapy with hemodialysis for one year and was transplanted with a cadaver renal graft 13 years ago. She was admitted at our nephrology department to perform an ultrasound-guided biopsy of the renal graft, using a 16‐gauge spring‐loaded biopsy gun. This procedure was made to clarify the worsening of renal function, with elevation of serum creatinine to 1.8 mg/dL. The patient had normal blood pressure, wasn’t taking any anticoagulant or antiplatelet medication and had a normal INR and platelet count. Six hours later, she presented with macroscopic hematuria. She underwent intravenous hydration and urethral catheterization. In the first hour, our patient urinated 1.000 cc of hematic urine without clots. During the following days she maintained good urine output, with progressive improvement in hematuria and serum creatinine, and was discharged. That same day, she returned to our service due to the reappearance of macroscopic hematuria. The analytical study revealed a worsening of the serum creatinine value (2.83 mg/dL) and de novo anemia, with hemoglobin of 8 gr/dL (baseline value 11.4 g/dL). The allograft Doppler Ultrasonography revealed (US) dilation of the lower and middle calyx groups, with functional compromise (with higher resistivity index) associated with obstructive nephropathy. (Figure 1)

 

 

Figura 1. Pelvic computed tomography

 

 

Bladder lavage showed several clots. In the following 24 hours she progressed to hemorrhagic shock with respiratory dysfunction and need for invasive mechanical ventilation and progressive worsening of renal function, with serum creatinine of 4.55 mg/dL. Pelvic computed tomography (CT) revealed calyx and pelvis duplicity and ureter bifidity which merged into a single ureter and inserted into the right anterolateral wall of the bladder (Figure 2). The inferior ureter was enlarged due to an obstructive clot, close to the confluence between ureters, without dilatation of the superior one. She underwent a cystoscopy that revealed a large placenta of clots, and washing was done. Ventilatory weaning occurred without intercurrences and a double J ureteral catheterization was performed on the lower ureter with progressive improvement of renal function and resolution of hematuria. She was discharged on the seventh day of re-hospitalization.

 

 

 

Figura 2. Allograft Doppler Ultrasonography

 

 

DISCUSSION

According to the nomenclature established by The Committee on Terminology, Nomenclature, and Classification of the Section on Urology of the American Academy of Pediatrics, duplicated collecting systems may be subdivided into partial or complete.(5) The first one refers to duplicated systems that join together distally to form one common ureteric branch prior to emptying into the bladder. On the other hand, complete duplicated systems are those where two ureters arise from the same kidney and drain separately into the bladder. Based on data published by Dahnert using urograms, partially duplicated systems are three times more common than complete ones.(6) In clinical practice, it has been found that duplicated collecting systems are two times more common in women compared to men.(7) The most common complication of a duplicated collecting system is reflux. The exact nature depends on the type of system involved. Complete systems are usually associated with vesicoureteric reflux and reflux associated with partially duplicated systems tends to be ureteroureteric.(8)

Renal transplant biopsies are performed routinely for evidence of renal transplant dysfunction or as part of post-transplant to screen for early rejection. Those performed with ultrasound guidance using a 16 to 18 gauge spring‐loaded biopsy gun are widely accepted as the safest and most efficient techniques. Minor complications occur in up to 17 %, most commonly hematuria, arteriovenous fistula and/or small hematoma.(9) Complications following a kidney biopsy depend on many factors. The main ones are the operator's experience, the use of ultrasound for orientation, the size of the biopsy needle and the post-procedure imaging. Biopsy of a renal graft is associated with a lower rate of complications than native kidney biopsy. Minor bleeding after renal biopsy, and often major bleeding, have spontaneous resolution.(10)

Postrenal acute kidney injury (AKI) correspond to 5-10 % of all AKI episodes and they are caused by bilateral urinary tract obstruction or unilateral urinary tract obstruction in patients with one kidney. The main causes for urethral and bladder outlet obstruction are calculi, benign prostate hypertrophy (BPH), cancer of prostate, bladder, cervix or colon and neurogenic bladder (diabetes mellitus). Ureteral obstruction may be associated with calculi, blood clot or vesicoureteral reflux. Intrarenal obstruction may be associated with crystals (uric acid, sulfonamide, acyclovir) and protein casts (multiple myeloma, amyloidosis).(11) Ureteral obstruction occurs in 1 % to 4.5 % of kidney transplant recipients and it is most frequently a distal obstruction.(12) It can be divided into early if the onset was in the first 3 months after transplantation or late, if initiated after 3 months. Early obstructions are often related to ureteric ischaemia, errors during the ureteroneocystostomy, a stone transplanted with the kidney, kinking of a redundant ureter, anastomotic oedema, a narrow anti-reflux tunnel at the ureterovesical anastomosis or external compression by a lymphocele or haematoma.(13-14) The etiology of late ureteral stricture is less well defined. It may be caused by ischaemic fibrosis, vasculitis in the context of an acute rejection episode or vasoconstriction caused by immunosuppressant therapy or malignant ureteric stricture if the stenosis develops late after transplantation (the incidence of bladder carcinoma is three times higher in the transplant population). Ureteric tumors and ureterolithiasis, which are common causes of ureteric obstruction in non-transplant patients, are less frequent in the transplant population.(13,15-16)

Most acute obstructive uropathies are associated with significant pain or the abrupt diminution of urine flow that alerts the clinician to the need for further evaluation and treatment.(10) The alterations in patterns of micturition are often associated with more distal obstructions and are early but frequently missed symptoms. Although anuria is dramatic and specific for obstruction, nocturia and polyuria are much more common presenting symptoms associated with renal concentrating defects due to partial obstruction. Bladder outlet obstruction leads to the symptoms of prostatism (eg. frequency, urgency, hesitancy, dribbling, decrease in voiding stream, the need to double void).(11)

In the present case, preserved diuresis with improved hematuria after urethral catheterization suggested a non-obstructive hematuria. However, re-emergence of this condition, with de novo anemia, motivated the US study, revealing hydronephrosis compatible with clot obstruction and with functional repercussion (high creatinine values and Doppler derived resistive index in the lower 2/3 of kidney allograft). Despite the vesical lavage with drainage of several clots, the rapid evolution to hemorrhagic shock with worsening of renal function caused concern. The presence of ureter bifidity in the CT study thus explained this evolution, justifying the maintenance of significant diuresis despite obstruction, located only to the lower ureter but with sufficient functional impact to condition AKI.

Post renal biopsy bleeding can be a serious complication even when there is no apparent immediate complications and in the absence of traditional risk factors (eg. anticoagulants, antiaggregants, hypertension, thrombocytopenia, liver disease, etc). In the presence of diuresis we must be alert that obstructive cause for AKI is possible and should be addressed immediately to prevent morbidity and mortality.

 

Conflict of interest: Authors declare no conflict of interest.

 

BIBLIOGRAPHY

1) Iversen P, Brun C. Aspiration biopsy of the kidney. Am J Med. 1951;11(3):324-30.
2) Mathew TH, Kincaid-Smith P, Eremin J, Marshall VC. Percutaneous needle biopsy of renal homografts. Med J Aust. 1968;1(1):6-7.
3) Tapia-Canelas C, Zometa R, López-Oliva MO, Jiménez C, Rivas B, Escuin F, et al. Complications associated with renal graft biopsy in transplant patients. Nefrología. 2014;34(1):115-9.
4) Ahmad I. Biopsy of the transplanted kidney. Semin Intervent Radiol. 2004;21(4):275-81.
5) Glassberg KI, Braren V, Duckett JW, Jacobs EC, King LR, Lebowitz RL, et al. Suggested terminology for duplex systems, ectopic ureters and ureteroceles. J Urol. 1984;132(6):1153-4.
6) Dahnert W. Radiology review manual. 6th ed. Philadelphia: Wolters Kluwer, Lippincott Williams Wilkins, 2007. xx, 1210 p.
7) Siomou E, Papadopoulou F, Kollios KD, Photopoulos A, Evagelidou E, Androulakakis P, et al. Duplex collecting system diagnosed during the first 6 years of life after a first urinary tract infection: a study of 63 children. J Urol. 2006;175(2):678-81; discussion 681-2.
8) Bhamani A, Srivastava M. Obstructed bifid uretereric system causing unilateral hydronephrosis. Rev Urol. 2013;15(3):131-4.
9) Morgan TA, Chandran S, Burger IM, Zhang CA, Goldstein RB. Complications of ultrasound-guided renal transplant biopsies. Am J Transplant. 2016;16(4):1298-305.
10) de la Rosette JJ, Witjes WP, Schäfer W, Abrams P, Donovan JL, Peters TJ, et al. Relationships between lower urinary tract symptoms and bladder outlet obstruction: results from the ICS-"BPH" study. Neurourol Urodyn. 1998;17(2):99-108.
11) Bellomo R, Kellum JA, Ronco C. Acute kidney injury. Lancet. 2012;380(9843):756-66.
12) Streeter EH, Little DM, Cranston DW, Morris PJ. The urological complications of renal transplantation: a series of 1535 patients. BJU Int. 2002;90(7):627-34.
13) Duty BD, Barry JM. Diagnosis and management of ureteral complications following renal transplantation. Asian J Urol. 2015;2(4):202-7.
14) Berger PM, Diamond JR. Ureteral obstruction as a complication of renal transplantation: a review. J Nephrol. 1998;11(1):20-3.
15) Karam G, Hétet JF, Maillet F, Rigaud J, Hourmant M, Soulillou JP, et al. Late ureteral stenosis following renal transplantation: risk factors and impact on patient and graft survival. Am J Transplant. 2006;6(2):352-6.
16) Kasiske BL, Snyder JJ, Gilbertson DT, Wang C. Cancer after kidney transplantation in the United States. Am J Transplant. 2004;4(6):905-13.

 

Cómo citar este artículo: Gomes da Silva F, Pestana N, Rosa N, Silva G. Obstructive acute kidney injury with maintenance of diuresis: a case of ureter bifidity. Rev Nefrol Dial Traspl. 2019; 39(4):291-6.

 

 

Esta obra está bajo una Licencia de Creative Commons Reconocimiento-No-Comercial 4.0 Internacional. Reconocimiento - Permite copiar, distribuir y comunicar públicamente la obra. A cambio se debe reconocer y citar al autor original. No comercial - Esta obra no puede ser utilizada con finalidades comerciales, a menos que se obtenga el permiso.

Revista de Nefrología, Diálisis y Trasplante
ISSN 2346-8548 (electrónico) - ISSN 0326-3428 (impreso)