IMÁGENES EN NEFROLOGÍA

PDF

 

Migración espontánea de catéter yugular tunelizado en pacientes en hemodiálisis

Spontaneous migration of tunneled yugular cathether in patients in hemodialysis

Antonio José Marin Franco, Basilia González Diez, Badawi Hijazi Prieto, Gabriel Yépez León, Magdalena Redondo Terán, Pedro Abáigar Luquín

Servicio de Nefrología, Hospital Universitario de Burgos, Burgos, España (amarinf@saludcastillayleon.es)

 

Recibido en su forma original: 6 de agosto de 2018
Aceptación final: 20 de septiembre 2018

 

 

INTRODUCCIÓN

Las características intrínsecas de los pacientes que están actualmente en hemodiálisis (edad avanzada, comorbilidades, etc.), hace que de forma progresiva aumente el porcentaje de los catéteres tunelizados en las unidades de diálisis; y con ello las complicaciones que la utilización de los mismos implican. Describimos un caso de migración espontanea de rama arterial de catéter permanente yugular ARROW CANNON® II plus de una paciente, que precisó recolocación percutánea endovascular, con buena evolución posterior.

El envejecimiento de la población, el aumento de la incidencia de diabetes y de la supervivencia de los paciente en diálisis, entre otros factores, tiene como consecuencia un deterioro progresivo del sistema vascular, con lo que la realización de una fistula arterio-venosa (FAV) nativa o prótesica, se limita progresivamente. Se hace necesario recurrir al implante de catéteres permanentes.(1-2)

La utilización de catéteres vasculares en hemodialisis, tiene complicaciones tanto durante la colocación de los mismos (hemorragia, punción arterial, neumotórax, hemotórax, etc.), como en la evolución posterior: infecciones y disfunción por migración, malposición o trombosis.(1-4)

En nuestra unidad de hemodiálisis, el catéter central permanente que utilizamos es el ARROW CANNON® II plus, de tunelización retrograda, que tiene como particularidad que el diseño y orientación de la punta del catéter es bifurcada, con el fin de minimizar la recirculación.

Presentamos un caso de migración de rama arterial de catéter tunelizado yugular izquierda en una paciente en hemodiálisis.

 

CASO CLÍNICO

Mujer de 70 años de edad, con antecedentes de Mieloma múltiple, que durante el ingreso para estudio de patología hematológica en abril de 2017 presenta deterioro progresivo de la función renal por riñón de mieloma, hasta alcanzar enfermedad renal crónica grado 5 requiriendo de hemodiálisis. Se realizó fistula arteriovenosa humero-mediana derecha el 6/7/17 y se colocó catéter yugular izquierdo ARROW CANNON® II plus el 11/07/2017 como acceso transitorio hasta maduración de la FAV, sin complicaciones aparentes.

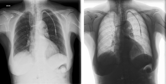
Radiológicamente se comprobó la ubicación del extremo distal venoso en posición baja, a la altura de aurícula derecha a nivel de entrada de la vena cava inferior, y el extremo del catéter arterial más alto, en aurícula derecha. (Imagen 1)

 

 

Imagen 1. Rayos X de tórax. Proyección anteroposterior, inmediatamente después de la colocación catéter tunelizado yugular izquierdo

 

 

Semanas más tarde se detecta problemas de disfunción del catéter (altas presiones durante las sesiones de hemodiálisis en la rama arterial) que no mejoran con las maniobras habituales, se invierten las líneas con mejoría parcial y se utiliza uroquinasa según protocolo del servicio con escaso éxito. Dada la persistencia de disfunción se realiza radiografía de tórax comprobándose la migración de la rama arterial del catéter venoso a vena yugular interna derecha. (Imágenes 2 y 3)

 

 

Imagen 2. Rayos X de tórax. Proyección anteroposterior convencional y en negativo, 45 días posterior a la colocación catéter tunelizado yugular izquierdo

 

 

Imagen 3. Rayos X de tórax. Proyección lateral convencional y en negativo, 45 días posterior a la colocación catéter tunelizado yugular izquierdo

 

 

Se conversa el caso con Radiología Intervencionista y mediante control radioscópico, con utilización de guía rígida, se consigue recolocar la rama arterial de catéter de diálisis, dejándolo alojado en aurícula derecha, sin complicaciones. (Imágenes 4 y 5)

 

 

Imagen 4. Rayos X de tórax. Proyección anteroposterior convencional y en negativo, posterior a la recolocación de rama arterial de catéter tunelizado yugular izquierdo

 

 

Imagen 5. Rayos X de tórax. Proyección lateral convencional y en negativo, posterior a la recolocación de rama arterial de catéter tunelizado yugular izquierdo

 

Desde este último procedimiento, no se han evidenciado alteraciones de las presiones durante las sesiones de hemodiálisis.

 

DISCUSIÓN Y CONCLUSIONES

Las complicaciones asociadas con los catéteres centrales de diálisis son una fuente importante de morbilidad. La trombosis, la estenosis y la infección son los problemas más comunes. Si bien, otra posible complicación a tener en cuenta es la migración del catéter.(1,4-5)

A pesar de las técnicas radiológicas utilizadas para confirmar la ubicación inicial del catéter, este, puede presentar una migración distal inesperada, dada la manipulación frecuente a la que están sometidos estos dispositivos y la movilidad relativa de dicho segmento del catéter.(1,4-5) Esta migración debe sospecharse al observar una disminución brusca del flujo sanguíneo o de la dosis de diálisis;(5) y una vez sospechada se recomienda el control radiológico para confirmación de esta entidad.(4-5)

El tratamiento de la migración de catéter debe ser individualizado ya que en ocasiones incluso es necesario la retirada del mismo.(5)

El catéter tunelizado debe ser nuestra última opción de acceso vascular para hemodiálisis. Es necesario un esfuerzo coordinado, entre el nefrólogo y otros especialistas, para que disminuya la necesidad de implantación de catéteres tunelizados en enfermos que van a precisar hemodiálisis crónicas.(1)

 

Conflicto de intereses: Los autores declaran no poseer ningún interés comercial o asociativo que presente un conflicto de intereses con el trabajo presentado.

 

BIBLIOGRAFÍA

1) Megido J, Torres A, Pobes A, Forascepi R. Migración espontánea de extremo de catéter tunelizado en hemodiálisis. Nefrología (Madr.) 2007;27(4):520-1.
2) Merino, JL, Galeano C, Chinchilla A, Sánchez J. Impactación de un cateter permanente tunelizado para hemodialisis en la vena yugular, una complicación excepcional. Nefrología (Madr.) 2006; 26(3):395-6.
3) Sequeira A, Sachdeva B, Abreo K. Uncommon complications of long-term hemodialysis catheters: adhesion, migration, and perforation by the catheter tip. Semin Dial. 2010;23(1):100-4.
4) Bagul A, Brook NR, Kaushik M, Nicholson ML. Tunnelled catheters for the haemodialysis patient. Eur J Vasc Endovasc Surg. 2007;33(1):105-12.
5) Wong K, Marks BA, Qureshi A, Stemm JJ. Migration of a central venous catheter in a hemodialysis patient resulted in left atrial perforation and thrombus formation requiring open heart surgery. A A Case Rep. 2016;7(1):21-3.
6) Brucculeri M, Licht J, Serur D, Cheigh J. Cause for inadequate clearance: hemodialysis catheter migration into the coronary sinus. Semin Dial. 2006;19(2):184-5.

 

Cómo citar este artículo: Marin Franco AJ, González Diez B, Hijazi Prieto B, Yépez León G, Redondo Terán M, Abáigar Luquín P. Migración espontánea de catéter yugular tunelizado en pacientes en hemodiálisis. Rev Nefrol Dial Traspl. 2019; 39(1):82-6.

 

Revista de Nefrología, Diálisis y Trasplante
ISSN 2346-8548 (electrónico) - ISSN 0326-3428 (impreso) 
Gascón 88 (1181) Ciudad Autónoma de Buenos Aires, Argentina
Contacto: ban@renal.org.ar