CASUÍSTICA

PDF

 

Giant polycystic kidney. A rare indication for nephrectomy

Quistes gigantes en la poliquistosis renal. Un indicador poco frecuente de nefrectomía

Murat Zor1, Bahadır Topuz1, Sami Uguz1, Gokhan Ozkan2, Selahattin Bedir1

1) Urology Department, Gulhane Research and Training Hospital, Ankara, Turkey (murat804@yahoo.com)
2) Gulhane Research and Training Hospital, Anesthesiology Department, Ankara, Turkey

 

Recibido en su forma original: 4 de marzo de 018
En su forma corregida: 31 de abril de 2018

Aceptación final: 2 de mayo de 2018

 

ABSTRACT
A 49-year-old male patient was diagnosed with ADPKD while the evaluation of urinary tract infection in 2010. He was suffering from nutritional problems due to gastro-intestinal disturbances and vomiting secondary to the pressure of the kidneys. He was also a candidate for kidney transplantation, but there was no adequate and enough space in the abdomen for the transplant kidney. Therefore, we performed open unilateral nephrectomy to the bigger kidney. As we now there is not too many cases regarding giant polycystic kidney nephrectomy, we presented our case to make additional contribution to the current literature.

KEYWORDS: polycystic kidney; nephrectomy; renal transplant

 

RESUMEN
Se diagnosticó poliquistosis renal autosómica dominante a un paciente masculino de 49 años durante la evaluación de un cuadro de infección urinaria en 2010. El paciente padecía problemas nutricionales debido a trastornos gastrointestinales y vómitos causados por la presión de los riñones. Asimismo, era candidato a trasplante renal, pero el espacio del abdomen no era adecuado ni suficiente para realizar este procedimiento. Por lo tanto se realizó una nefrectomía unilateral, en el riñón de mayor tamaño. Debido a que no se conocen muchos casos de nefrectomía en pacientes con poliquistosis renal con quistes gigantes, presentamos este para realizar un aporte a la bibliografía existente.

PALABRAS CLAVE: enfermedad poliquística renal; nefrectomía; trasplante renal

 

INTRODUCTION

Autosomal dominant polycystic kidney disease (ADPKD) is a common hereditary disease. It is one of the most frequent reasons of end-stage renal failure, which may affect 2.5-10% of dialysis patients.(1) The disease usually occurs in the 3rd or 4th decade of life.(2) Patients with ADPKD have various renal manifestations such as growth of multiple cysts, hypertension, chronic pain, hematuria, hemorrhage, recurrent urinary tract infection, stone and renal failure.(2) Treatment in symptomatic patients with ADPKD is still controversial because of morbidity and mortality. However, there are some certain indications for nephrectomy such as chronic abdominal pain, hematuria, hemorrhage, recurrent urinary tract infection, absence of space for a transplant kidney in the abdomen, and suspicion of malignancy.(3)

In this case report, we aimed to present left open nephrectomy to create a space before the kidney transplantation in a patient with giant bilateral polycystic kidney.

 

CASE REPORT

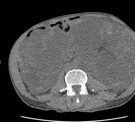
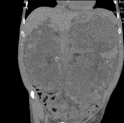
A 49-year-old male patient was diagnosed with ADPKD while the evaluation of urinary tract infection in 2010. Renal failure progressed quickly in the patient after the diagnosis of polycystic kidney disease. Renal replacement therapy was begun due to end-stage renal failure in June 2013. His father was also a dialysis patient secondary to ADPKD. The patient was too slim with 56 kg weight and 18.9 BMI. Physical examination revealed that the abdomen was distended because of the polycystic kidneys. He said that he suffered from nutritional problems due to gastro-intestinal disturbances and vomiting secondary to the pressure of the kidneys. Computed tomography revealed giant polycystic kidneys covering most of the abdominal space (Figure 1a, 1b).

 

Figure 1a. Axial view of the abdominal tomography


 

 

Figure 1b. Coronal view of the abdominal tomography. Huge polycystic kidneys are visible and the intestinal

structures are deplaced to the caudally. There are also multiple cysts in the liver

 

 

He was a candidate for kidney transplantation, but there was no adequate and enough space in the abdomen for the transplant kidney. Therefore, open unilateral nephrectomy to the bigger kidney (left kidney) was performed. Due to limited space in the abdomen we did not thought to perform the procedure via laparoscopic approach (Figure 1c).

 

Figure 1c. After the midline incision directly the polycystic kidney is seen, indicating the inadequate abdominal space for laparoscopic surgery

 

 

Upper and lower abdominal midline incision was performed for surgical exposure and the procedure lasted in 150 minutes. The surgical specimen weighed nearly 4500 gr and the maximum diameter was 43 cm (Figure 1d). There were no intraoperative or postoperative complications and the patient was discharged on postoperative 7th day. The patient's nutritional problems and abdominal pain improved after nephrectomy. Histopathological analysis revealed a multicystic kidney compatible with renal cystic disease. The patient is still waiting for kidney transplantation from cadaver-donor. 3rd month follow-up was uneventful and in the last three months period he gained 4 kg and BMI was increased to 20.3.

 

Figure 1d. Final resected nephrectomy specimen. Ureter can be easily realized (black arrow)

 

 

DISCUSSION

Native nephrectomy is scheduled in potential kidney recipients who have uncontrolled hypertension, chronic pyelonephritis, recurrent urinary tract infections due to urolithiasis, massive proteinuria, and symptomatic autosomal dominant polycystic kidney disease.(1) According to the latest evidence it is thought that nearly 20 percent of ADPKD patients, who are symptomatic, will need nephrectomy.(3-4) The major indications include abdominal discomfort, space for transplantation, ongoing hematuria, hemorrhage, recurrent pyelonephritis, staghorn stones, giant enlarged kidneys, gastrointestinal symptoms and suspicion of malignancy.(3-4) Gastrointestinal symptoms can be seen in giant polycystic kidneys and may cause discomfort due to pressure to surrounding tissue and organs. In our case, indication for surgery was nutritional problems due to gastro-intestinal disturbances and the need of enough space for transplant kidney.

In the literature several authors performed native nephrectomy for ADPKD due to increased intra-abdominal pressure secondary to the size of the native kidneys, and purpose of creating enough space for the graft kidney.(1) The timing (pre­transplant, concomitant, or post-transplant) and method of nephrectomy for ADPKD is controversial.(5) But many recent publications point that pretransplant unilateral or bilateral native nephrectomy is associated with higher mortality and morbidity. Unilateral nephrectomy is suggested if the native kidney is too big to occupy the graft kidneys place.(6) Moreover, the maintenance of residual renal functions is associated with the prolonged survival in hemodialysis and peritoneal dialysis patients especially in pre-transplant native nephrectomy setting.(1) When compared with bilateral native nephrectomy unilateral nephrectomy provides better patient outcomes, decreased additional organ injuries and morbidity.(5) In their study Fuller et al. and Glassman et al. also reported that unilateral native nephrectomy of ADPKD patients concurrent with transplantation was safe.(7-8) In another study, Kirkman et al. reported that post-transplant unilateral nephrectomy appears to be the safest approach with fewest complications.(9) Nephrectomy for ADPKD can be performed by an open or laparoscopic technique. The laparoscopic approach has demonstrated some advantages when it compared the open approach such as shorter hospital stay, less postoperative pain, earlier convalescence and less transfusion requirement. On the other hand, literature search also reveals that it has many procedure and patient related risks for ADPKD patients. Desai et al. suggested that abdominal midline incision for excision of large polycystic kidneys with minimal rupture of cysts.(10) In our case, we performed an open approach because both kidneys were huge and there was no enough space for laparoscopic approach.

To the best of our knowledge, our case is also unique in the literature due to its huge dimensions. Previously, only one case was presented in the English literature with nearly same dimensions by Ferraz Aruda et al. in 2011.(11) They also used a midline incision for better exposure and the kidney weighted 4250 gr, and the maximum length was 43 cm. Recently a meta-analysis was published in November 2014 and the data of patients were shared who underwent laparoscopic nephrectomy due to polycystic kidneys.(4) The mean kidney size was nearly between 19 and 26 cm and the kidney mass nearly between 717 and 4286 g.

 

CONCLUSION

Nephrectomy can be performed to ADPKD patients to create a space in the abdomen or to relief pressure symptoms to surrounding tissues and organs. Open transabdominal midline incision provides best exposure and may reduce complications when the kidneys are too big. As we now there is not too many cases regarding giant polycystic kidney nephrectomy, our case contributes to the current literature with its huge dimensions.

 

Conflicto de intereses: Los autores declaran no poseer ningún interés comercial o asociativo que presente un conflicto de intereses con el trabajo presentado.

 

BIBLIOGRAFÍA

1) Halvorson CR, Bremmer MS, Jacobs SC. Polycystic kidney disease: inheritance, pathophysiology, prognosis, and treatment. Int J Nephrol Renovasc Dis. 2010;3:69-83.
2) Sulikowski T, Kamiński M, Rózański J, Zietek Z, Domański L, Majewski W, et al. Laparoscopic removal of renal cysts in patients with ADPKD as an alternative method of treatment and patient preparation for kidney transplantation: preliminary results. Transplant Proc. 2006;38(1):23-7.
3) Veroux M, Zerbo D, Basile G, Gozzo C, Sinagra N, Giaquinta A, et al. Simultaneous Native Nephrectomy and Kidney Transplantation in Patients With Autosomal Dominant Polycystic Kidney Disease. PLoS One. 2016;11(6):e0155481.
4) Williamson A, Paterson S, Erolin C, Sweeney C, Townell N, Nabi G. Laparoscopic nephrectomy for adult polycystic kidney disease: safety, feasibility, and early outcomes. J Endourol. 2014;28(11):1268-77.
5) Yucel Tekin S, Yuksel D, Yucetin L, Yavuz H A, Demirbas A. Which One Should We Perform for Native Nephrectomy in Renal Transplant Recipients with Polycystic Kidney Disease: Bilateral or Unilateral Nephrectomy? Eight Years Experience in Our Transplantation Centre. JOJ Urol Nephrol. 2017;2(3):555589.
6) Veroux M, Zerbo D, Palmucci S, Sinagra N, Giaquinta A, Veroux P. Simultaneous Nephrectomy and Ipsilateral Dual Kidney Transplantation in Patients With Autosomal Polycystic Kidney Disease. Transplantation. 2016;100(1):e3-4.
7) Fuller TF, Brennan TV, Feng S, Kang SM, Stock PG, Freise CE. End stage polycystic kidney disease: indications and timing of native nephrectomy relative to kidney transplantation. J Urol. 2005;174(6):2284-8.
8) Glassman DT, Nipkow L, Bartlett ST, Jacobs SC. Bilateral nephrectomy with concomitant renal graft transplantation for autosomal dominant polycystic kidney disease. J Urol. 2000;164(3 Pt 1):661-4.
9) Kirkman MA, van Dellen D, Mehra S, Campbell BA, Tavakoli A, Pararajasingam R, et al. Native nephrectomy for autosomal dominant polycystic kidney disease: before or after kidney transplantation? BJU Int. 2011;108(4):590-4.
10) Desai PJ, Castle EP, Daley SM, Swanson SK, Ferrigni RG, Humphreys MR, et al. Bilateral laparoscopic nephrectomy for significantly enlarged polycystic kidneys: a technique to optimize outcome in the largest of specimens. BJU Int. 2008;101(8):1019-23.
11) Ferraz Arruda PF, Spessoto LC, Godoy MF, Pereira de Godoy JM. Giant polycystic kidney and acute abdomen in chronic renal failure. Urol Ann. 2011;3(1):39-41.

 

Cómo citar este artículo: Zor M, Topuz B, Uguz S, Ozkan G, Bedir S. Giant polycystic kidney. A rare indication for nephrectomy. Rev Nefrol Dial Traspl. 2018; 38(3):218-21.

 

Revista de Nefrología, Diálisis y Trasplante
ISSN 2346-8548 (electrónico) - ISSN 0326-3428 (impreso)
Gascón 88 (1181) Ciudad Autónoma de Buenos Aires, Argentina
Contacto: ban@renal.org.ar