Rev. Nefrol. Dial. Traspl.2026, 46(1):31-36
Casuística
Post-COVID-19 ANCA Vasculitis
SUCCESSFUL
TREATMENT OF POST-COVID-19 SEVERE ANCA-ASSOCİATED VASCULİTİS: CASE REPORT
TRATAMİENTO
EXİTOSO DE VASCULİTİS GRAVE ASOCİADA A ANCA POST-COVID-19: INFORME DE UN CASO
Zeynep Ural¹,
ORCID: 0000-0002-3162-8760
Saliha Yıldırım¹, Osman Tamer Şahin², Veysel Baran Tomar³,
Nail Zelyurt³, Handenur Koç³, Melda Türkoğlu²,
Gülbin Aygencel², Yasemin Erten¹
1) Department of
Nephrology, Gazi University Faculty of Medicine, Ankara, Turkey.
2) Department of Critical
Care Medicine, Gazi University, Faculty of Medicine, Ankara, Turkey.
3) Department of Internal
Medicine, Gazi University, Faculty of Medicine, Ankara, Turkey
Fecha entregado: 23 de septiembre de 2025
Fecha corregido: 26 de octubre de 2025
Fecha aceptado: 10 de febrero de 2026
RESUMEN
Antecedentes: La pandemia de SARS-CoV-2 se ha convertido en un importante problema de salud mundial. La afectación renal en pacientes con COVID-19 es común y se asocia con una alta mortalidad. Si bien la necrosis tubular aguda por inestabilidad hemodinámica es la causa más frecuente, también se han descrito otros mecanismos complejos y destructivos relacionados con la tormenta de citocinas y la activación del sistema inmunitario. Presentación del caso: Se informa de un caso de vasculitis asociada a anticuerpos anticitoplasma de neutrófilos (PR3-ANCA) que se presentó con síndrome pulmonar-renal grave, una complicación rara y potencialmente mortal que se manifestó aproximadamente dos meses después de la infección por COVID-19. Conclusiones: Si bien no se puede establecer una relación causal definitiva, la desregulación inmunitaria desencadenada por la COVID-19 podría haber contribuido al desarrollo de vasculitis asociada a ANCA (VAA). La VAA es una enfermedad grave, y el tratamiento inmunosupresor inmediato condujo a la recuperación completa.
Palabras Clave: ANCA, COVID-19; informe
de caso; glomerulonefritis con secreciones; síndrome pulmonar-renal.
ABSTRACT
Background: The SARS-CoV-2 pandemic has become a major global health concern. Kidney involvement in COVID-19 patients is common and associated with high mortality. Although acute tubular necrosis due to hemodynamic instability is the most frequent cause, other complex and destructive mechanisms related to cytokine storm and immune system activation have also been reported. Case presentation: We report a case of proteinase-3 anti-neutrophil cytoplasmic antibody (PR3-ANCA)-associated vasculitis presenting with severe pulmonary-renal syndrome, a rare and potentially fatal complication that occurred approximately two months after COVID-19 infection. Conclusions: While a causal relationship cannot be definitively established, immune dysregulation triggered by COVID-19 may have contributed to the development of ANCA-associated vasculitis (AAV). AAV is a serious disease, and prompt immunosuppressive therapy led to full recovery.
Keywords: ANCA, COVID-19, case report; crescentic
glomerulonephritis; pulmonary-renal syndrome.
BACKGROUND
Coronavirus disease 2019 (COVID-19),
caused by severe acute respiratory syndrome coronavirus 2 (SARS-CoV-2), has led
to significant morbidity and mortality worldwide since its emergence in late
2019. While most cases are asymptomatic or present with mild influenza-like
symptoms, a substantial proportion develop severe pneumonia, acute respiratory
distress syndrome, multi-organ failure, or death (1).
COVID-19 can trigger an exaggerated immune response, particularly in susceptible individuals(2). Epitope expansion and antigen
mimicry are the first triggers for antibody production (3). Antineutrophil cytoplasmic antibody
(ANCA)-associated vasculitis (AAV) is a systemic disease affecting organs such
as the kidneys, lungs, skin, and gastrointestinal tract. Although its exact
pathogenesis remains unclear, infections have been implicated as triggers, particularly via cytokine storms(4,5). AAV requires rapid
diagnosis and treatment; any delay increases morbidity and mortality (6,7). Severe organ
involvement often complicates timely diagnosis and treatment. We present a
previously healthy 51-year-old male who developed severe ANCA-associated
vasculitis following mild COVID-19, presenting with both acute kidney injury
(AKI) and diffuse alveolar hemorrhage (DAH), and successfully treated prior to
ANCA confirmation.
CASE
PRESENTATION
A 51-year-old man without prior
comorbidities presented with AKI, anuria, and hemoptysis. He had received two
doses of the Biontech mRNA vaccine approximately 8 months earlier and had
tested positive for COVID-19 via PCR approximately 2 months earlier due to symptoms
of a runny nose, fever, and fatigue. He required neither hospitalization nor
medical treatment during his COVID-19 infection and became PCR-negative.
However, fifteen days after recovery, he
developed weakness, anorexia, joint pain, nausea, and daily hemoptysis. Over
the following ten days, his urine output progressively declined. At a local
hospital, chest computed tomography (CT) revealed a cavitary lesion with
central opacification in the right pulmonary apex and bilateral ground-glass
opacities, suggestive of diffuse alveolar hemorrhage. (Figure 1) Bacterial and fungal
lung infections were ruled out. Sputum tuberculosis cultures, acid-fast bacilli
(AFB) stains, and immunological tests, including PR3-ANCA, MPO-ANCA, ANA, and
anti-GBM, were initially negative.
With worsening renal function and clinical
deterioration, he was referred to our hospital for evaluation of
pulmonary-renal syndrome and potential hemodialysis. Upon admission, laboratory
tests showed serum creatinine 12.02 mg/dL, eGFR 4 mL/min/1.73 m², BUN 118.65
mg/dL, albumin 2.7 g/dL, and C-reactive protein 292 mg/dL. Urinalysis
demonstrated proteinuria and hematuria. Severe anemia, leukocytosis, and normal
platelet counts were noted. The patient was tachypneic and hypoxic at
presentation. Within two hours, he developed a massive pulmonary hemorrhage
requiring urgent intubation.
Due to the critical presentation,
empirical treatment was initiated immediately with 1000 mg intravenous pulse
methylprednisolone and plasmapheresis, despite the absence of histological or
serological confirmation. Subsequent serological re-evaluation revealed
positive PR3-ANCA. Cyclophosphamide 500 mg IV was administered, and
plasmapheresis continued for five sessions. Following three days of pulse
steroids, maintenance therapy with 80 mg IV prednisolone was initiated. Hemodialysis
was started due to uremia and anuria. Tracheostomy was performed on day 26 of
intensive care. Gradual clinical improvement was observed, with increasing
urine output and resolution of hypoxia. After 42 days, the tracheostomy was
closed. The renal function recovered, and the patient was discharged after 50
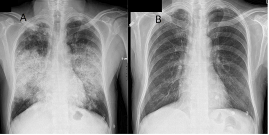
days in intensive care. (Figure 2b, Figure 3).
Maintenance therapy included 60 mg oral prednisolone daily and cyclophosphamide
500 mg IV every 15 days.
Figure
1: Thoracic
CT showing widespread bilateral ground-glass opacities consistent with diffuse
alveolar hemorrhage (C) and a cavitary lesion in the right pulmonary apex (D)

Figure
2:
Chest X-ray (PA view) at presentation (A) and after 8 weeks (B)
Figure
3: Treatment
timeline showing initiation of pulse steroids and plasmapheresis, followed by
cyclophosphamide, gradual renal recovery, and discontinuation of hemodialysis
DISCUSSION
Herein, we report a case of severe
PR3-ANCA-associated vasculitis presenting with dialysis-requiring AKI and DAH
following SARS-CoV-2 infection. Granulomatosis with polyangiitis, a small
vessel vasculitis, manifests across a spectrum from mild disease to
life-threatening massive alveolar hemorrhage. Immunosuppression remains the
cornerstone of treatment; untreated cases carry high mortality (7). Although causality cannot be
definitively proven, accumulating evidence suggests that SARS-CoV-2 may trigger
autoimmune vasculitis through mechanisms of immune dysregulation, molecular
mimicry, and endothelial injury (3,5).
COVID-19 induces a hyperinflammatory state
characterized by elevated cytokines (IL-6, IL-8, TNF-α) and activation of
neutrophil extracellular traps (NETs), both of which have been implicated in
the pathogenesis of AAV. NETs provide autoantigens, such as PR3 and MPO,
thereby promoting ANCA formation in genetically predisposed individuals.
Additionally, molecular mimicry between viral antigens and host neutrophil
proteins may facilitate autoimmunity (15,18).
Several case reports describe de novo
ANCA-associated vasculitis following COVID-19 (8,14).
Among these, Hussein et al. described a fatal case of PR3-ANCA vasculitis with
massive hemoptysis in a COVID-positive patient. Maritati et al. and Morris et
al. reported severe post-COVID AAV requiring dialysis;
both had poor outcomes (9,11,12).
In contrast, our case represents a rare instance of full recovery despite
dialysis-requiring renal failure and respiratory failure.
Although a direct causal link between
SARS-CoV-2 infection and subsequent ANCA-associated vasculitis cannot be
confirmed, several reports describe the delayed onset of autoimmune vasculitis
weeks to months after infection, suggesting that SARS-CoV-2 infection may unmask latent autoimmunity (15,16). In our patient, ANCA
seroconversion occurred after recovery from mild COVID-19, suggesting a delayed
post-infectious immune process rather than direct viral injury. Similar delayed
vasculitic phenomena have been observed after influenza and hepatitis C
infections, supporting the possibility that persistent immune dysregulation
following COVID-19 may precipitate autoimmunity (19,20).
CLINICAL
IMPLICATIONS
Clinicians should maintain a high index of
suspicion for AAV in patients presenting with pulmonary-renal syndromes after
COVID-19, even several weeks post-infection. Early initiation of immunosuppressive
therapy before histological confirmation can be life-saving, as demonstrated in
our case. Further research is needed to determine the true incidence and
pathophysiological link between SARS-CoV-2 and AAV.
CONCLUSIONS
To our knowledge, this is the first
reported case of post-COVID PR3-ANCA-positive vasculitis presenting with both
massive hemoptysis and dialysis-dependent renal failure, who fully recovered.
The key factor contributing to survival was the immediate initiation of
immunosuppressive therapy, without waiting for histological confirmation.
Although the direct causal relationship
between COVID-19 and ANCA-associated vasculitis remains unproven, our case
supports the hypothesis that immune dysregulation triggered by SARS-CoV-2 infection
may contribute to the onset of vasculitis. Awareness of this potential
association is crucial for timely diagnosis and treatment. Our patient’s full
recovery underscores the importance of early aggressive immunosuppressive
therapy.
ABBREVIATIONS
COVID-19: Coronavirus disease 2019.
PR3-ANCA: Proteinase-3 anti-neutrophil
cytoplasmic antibodies.
ANCA: Antineutrophil cytoplasmic antibody.
AAV: Antineutrophil cytoplasmic
antibody-associated vasculitis.
DAH: Diffuse alveolar hemorrhage.
AFB: Acid-fast bacilli.
MPO-ANCA: Myeloperoxidase-Antineutrophil
cytoplasmic antibody.
ANA: Antinuclear Antibody.
anti-GBM: Anti-glomerular basement membrane.
eGFR: Estimated glomerular filtration rate.
BUN: Blood urea nitrogen.
DECLARATIONS
Ethics Approval and Consent to Participate
The patient provided written consent to
participate in the study.
Consent for Publication
Written informed consent was obtained from the
patient for the publication of this case report.
availability of Data and Materials
Data are available from the corresponding author
upon request.
Competing Interests
The authors declare that they have no competing
interests.
Funding Statement
This research received no specific grant from any
funding agency.
ACKNOWLEDGEMENT
None
BIBLIOGRAPHY
1) Chen N, Zhou M, Dong X, Qu J, Gong F, Han Y, et al. (2020). Epidemiological and
clinical characteristics of 99 cases of 2019 novel coronavirus pneumonia in
Wuhan, China: A descriptive study. The Lancet, 395(10223), 507-513.
https://doi.org/10.1016/s0140-6736(20)30211-7
2) Gelzo M, Cacciapuoti S, Pinchera B, De Rosa A, Cernera G, Scialò F, et al.
(2021). A transient increase in the serum ANCAs in patients with SARS-CoV-2
infection: A signal of subclinical vasculitis or an epiphenomenon with no
clinical manifestations? A pilot study. Viruses, 13(9), 1718.
https://doi.org/10.3390/v13091718
3) Gupta M, Weaver DF. (2021). COVID-19 as a trigger of brain autoimmunity. ACS
Chemical Neuroscience, 12(14), 2558-2561.
https://doi.org/10.1021/acschemneuro.1c00403
4) van Timmeren MM, Heeringa P, Kallenberg CG. Infectious triggers for vasculitis.
Curr Opin Rheumatol. 2014 Jul;26(4):416-23. doi: 10.1097/BOR.0000000000000068.
5) Kakoullis L, Parperis K, Papachristodoulou E, Panos G. (2020).
Infection-induced myeloperoxidase specific antineutrophil cytoplasmic antibody
(MPO-ANCA) associated vasculitis: A systematic review. Clinical Immunology,
220, 108595. https://doi.org/10.1016/j.clim.2020.108595
6) Grygiel-Gorniak B, Limphaibool N, Perkowska K, Puszczewicz M. (2018). Clinical
manifestations of granulomatosis with polyangiitis: key considerations and
major features. Postgraduate Medicine, 130(7), 581-596.
https://doi.org/10.1080/00325481.2018.1503920
7) Almaani S, Fussner LA, Brodsky S, Meara AS, Jayne D. (2021). ANCA-Associated
Vasculitis: An Update. Journal of Clinical Medicine, 10(7), 7146. https://doi.org/10.3390/jcm10071446
8) Felzer JR, Fogwe DT, Samrah S, Michet CJ Jr, Specks U, Baqir M, et al. (2022).
Association of COVID-19 antigenicity with the development of antineutrophilic
cytoplasmic antibody vasculitis. Respirology Case Reports, 10, e0894.
https://doi.org/10.1002/rcr2.894
9) Hussein A, Al Khalil K, Bawazir YM. (2020). Anti-Neutrophilic Cytoplasmic
Antibody (ANCA) Vasculitis Presented as Pulmonary Hemorrhage in a Positive
COVID-19 Patient: A Case Report. Cureus, 12(8), e9643.
https://doi.org/10.7759/cureus.9643
10) Izci Duran T, Turkmen E, Dilek M, Sayarlioglu H, Arik N. (2021).
ANCA-associated vasculitis after COVID-19. Rheumatology International, 41(8),
1523-1529. https://doi.org/10.1007/s00296-021-04914-3
11) Maritati F, Moretti MI, Nastasi V, Mazzucchelli R, Morroni M, et al. (2021).
ANCA-Associated Glomerulonephritis and Anti-Phospholipid Syndrome in a Patient
with SARS-CoV-2 Infection: Just a Coincidence Case Reports in Nephrology and
Dialysis, (2), 214-220. https://doi.org/10.1159/000517513
12) Morris D, Patel K, Rahimi O, Sanyurah O, Iardino A, Khan N. (2021). ANCA
vasculitis: A manifestation of Post-Covid-19 Syndrome. Respiratory Medicine
Case Reports, 34, 101549. https://doi.org/10.1016/j.rmcr.2021.101549
13) Selvaraj V, Moustafa A, Dapaah-Afriyie K, Birkenbach MP. (2021).
COVID-19-induced granulomatosis with polyangiitis. BMJ Case Reports, 14(3),
e242142. https://doi.org/10.1136/bcr-2021-242142
14) Uppal NN, Kello N, Shah HH, Khanin Y, De Oleo IR, Epstein E, et al. (2020). De
Novo ANCA-Associated Vasculitis With Glomerulonephritis in COVID-19. Kidney
International Reports, 5(11), 2079-2083.
https://doi.org/10.1016/j.ekir.2020.08.012
15) Hileman CO, Malakooti SK, Patil N, Singer NG, McComsey GA. New-onset autoimmune
disease after COVID-19. Front Immunol. 2024 Feb 8;15:1337406. doi:
10.3389/fimmu.2024.1337406. PMID: 38390319; PMCID: PMC10883027.
16) Phetsouphanh C, Darley DR, Wilson DB, Howe A, Munier CML, Patel SK, et al.
Immunological dysfunction persists for 8 months following initial
mild-to-moderate SARS-CoV-2 infection. Nat Immunol. 2022 Feb;23(2):210-216.
doi: 10.1038/s41590-021-01113-x. Epub 2022 Jan 13. PMID: 35027728.
17) Zhu Y, Chen X, Liu X. NETosis and Neutrophil Extracellular Traps in COVID-19:
Immunothrombosis and Beyond. Front Immunol. 2022 Mar 2;13:838011. doi:
10.3389/fimmu.2022.838011. PMID: 35309344; PMCID: PMC8924116.
18) Zuo Y, Yalavarthi S, Shi H, Gockman K, Zuo M, Madison JA, et al. Neutrophil
extracellular traps in COVID-19. JCI Insight. 2020 Jun 4;5(11):e138999. doi:
10.1172/jci.insight.138999. PMID: 32329756; PMCID: PMC7308057.
19) Revenga Arranz F, Díaz Díaz R, Iglesias Díez L, Cassis Herce B, Sánchez Gómez
F, Fuertes Ortiz A. Cryoglobulinemic vasculitis associated with hepatitis C
virus infection. A report of eight cases. Acta Derm Venereol. 1995
May;75(3):234-6. doi: 10.2340/0001555575234236. PMID: 7653186.
20) Smatti MK, Cyprian FS, Nasrallah GK, Al Thani AA, Almishal RO, Yassine HM. Viruses and Autoimmunity: A Review on the Potential Interaction and Molecular Mechanisms. Viruses. 2019 Aug 19;11(8):762. doi: 10.3390/v11080762. PMID: 31430946; PMCID: PMC6723519