Rev. Nefrol. Dial. Traspl.2025; 45(4):201-204

 

Coinfección viral postrasplante renal pediátrico

 

Casuística

 

DE LA SOSPECHA DE ENFERMEDAD LINFOPROLIFERATIVA A LA INFECCIÓN POR VIRUS DE EPSTEIN-BARR Y HERPES VIRUS HUMANO TIPO 6 EN UN PACIENTE PEDIÁTRICO TRASPLANTADO RENAL

 

FROM SUSPECTED LYMPHOPROLIFERATIVE DISEASE TO EPSTEIN-BARR VIRUS AND HUMAN HERPESVIRUS TYPE 6 INFECTION IN A PEDIATRIC KIDNEY TRANSPLANT PATIENT

 

 

María Sol Groppo 2, ORCID: 0009-0003-8038-3207 - Mail:msolgroppo@gmail.com

Belén Pussetto 1, María Lola Vozza 3

 

1) Departamento de Nefrología Pediátrica, Hospital Privado Universitario de Córdoba, Córdoba, Argentina.

2) Departamento de Pediatría, Hospital Privado Universitario de Córdoba, Córdoba, Argentina.

3) Departamento de Infectología Pediátrica, Hospital Privado Universitario de Córdoba, Córdoba, Argentina.

 

Fecha entregado: 28 de mayo de 2025

Fecha corregido: 3 de julio de 2025

Fecha aceptado: 16 de octubre de 2025

 

 

ABSTRACT

Post-transplant lymphoproliferative disease (PTLD) is the most common malignancy after solid organ transplantation. Its incidence varies by allograft type, ranging from 1% to 3% in pediatric kidney transplant recipients. PTLD is associated with Epstein-Barr virus (EBV) infection, which induces B-cell proliferation, giving rise to lymphoid tumors. In children, it usually appears within the first two years post-transplant as a rare complication, and the definitive diagnosis is based on histopathological findings. We report the case of a 6-year-old boy who, three months after kidney transplantation, presented with fever and persistent mouth ulcers. Suspecting PTLD, an oral biopsy was performed, confirming EBV and human herpesvirus 6 (HHV-6) infection with negative viral loads in the blood. Immunosuppressive therapy, gamma globulin, and ganciclovir were indicated, with a good clinical response.

 

Keywords: kidney transplant; Epstein-Barr virus infection; post-transplant lymphoproliferative disease.

 

 

RESUMEN

La enfermedad linfoproliferativa postrasplante (PTLD) es la neoplasia maligna más común tras el trasplante de órganos sólidos. Su incidencia varía por tipo de aloinjerto, siendo del 1% al 3% en receptores pediátricos de trasplante renal. La PTLD está asociada con la infección por el virus Epstein-Barr (VEB), que induce la proliferación de linfocitos B dando lugar a tumores linfoides. En niños, suele aparecer dentro de los primeros dos años postrasplante como una complicación poco frecuente, y el diagnóstico definitivo se basa en hallazgos histopatológicos. Se reporta el caso de un niño de 6 años que, tres meses después del trasplante renal, presenta fiebre y úlceras bucales persistentes. Ante la sospecha de PTLD, se realiza biopsia oral confirmándose infección por VEB y herpes virus humano 6 (VHH-6) con cargas virales negativas en sangre. Se indica reducción inmunosupresora, gammaglobulina y ganciclovir, con buena respuesta clínica.

 

Palabras Clave: Trasplante renal; infección por virus de Epstein-Barr; enfermedad linfoproliferativa postrasplante.

 

 

 

INTRODUCCIÓN

La PTLD representa entre el 60% y 90% de los tumores en niños trasplantados renales (1), con una incidencia del 1-2% a cinco años postrasplante. La mortalidad depende del tipo histológico, siendo más alta en las variantes monomórficas, que se asocian a un pronóstico más desfavorable. Los factores de riesgo para desarrollarla incluyen serología negativa para VEB al momento del trasplante, infecciones primarias por VEB y citomegalovirus (CMV), edad temprana, y uso de inmunosupresores. La relación entre VEB y PTLD es significativa, presente en el 60-80% de los casos (2). La sospecha clínica se basa en síntomas como fiebre, pérdida de peso y adenopatías, siendo la tomografía por emisión de positrones (PET) la herramienta más útil para el diagnóstico (4). La prevención es compleja, y se sugiere ajustar la inmunosupresión ante aumento de la carga viral de VEB. El tratamiento para PTLD incluye la supresión de la inmunosupresión y el uso de rituximab, entre otros.

Las infecciones virales son una causa importante de morbimortalidad en pacientes trasplantados, influenciadas por el tipo de trasplante, el grado de inmunosupresión y la vulnerabilidad del receptor. Pueden adquirirse de manera exógena a través de órganos infectados o reactivarse a partir de virus latentes (3). En el trasplante de órganos sólidos, las complicaciones asociadas al HHV-6 pueden manifestarse a través de sus efectos inmunomoduladores o por acción directa del virus.

El VEB permanece en los linfocitos B de forma latente luego de la infección, (2) pudiendo reactivarse en situaciones de inmunosupresión, con riesgo de trastornos linfoproliferativos. El diagnóstico diferencial se basa en la evaluación clínica, histopatológica y virológica. En infecciones por herpes, se observa infiltración celular en el tejido renal, daño epitelial de túbulos renales, y presencia de células con cuerpos de inclusión vírica. En la PTLD la biopsia y análisis histopatológico (proliferación linfoide atípica) son fundamentales.

 

CASO CLÍNICO

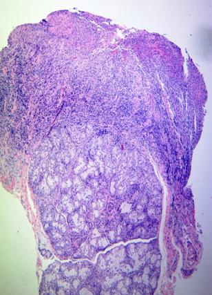
Paciente de sexo masculino de 6 años de edad, con antecedentes de insuficiencia renal crónica secundaria a síndrome nefrótico congénito tipo finlandés. Inicia tratamiento sustitutivo con diálisis peritoneal a los 5 años, el cual debe suspenderse a los dos meses por presentar una comunicación pleuroperitoneal, indicándose como terapia de sustitución renal hemodiálisis. Recibe trasplante renal 4 meses después, de donante cadavérico. La inmunosupresión de inducción fue basiliximab y pulsos de metilprednisolona; y de mantenimiento prednisona, tacrolimus y micofenolato mofetil. Serología VEB pre trasplante negativa. A los 3 meses del trasplante, presenta cuadro de odinofagia y fiebre intermitente, asociado a úlceras orales dolorosas (Figura 1) y adenopatías submaxilares. Las PCR seriadas para VEB, HHV-6 y CMV se mantuvieron indetectables, sin ascenso de carga viral previo a la manifestación clínica. Se reduce micofenolato al 50% y se cambia aciclovir por valganciclovir, sin mejoría clínica. El paciente es internado por persistencia de fiebre, lesiones bucales con mal manejo del dolor y pérdida de peso. Se realiza ecografía abdominal que evidencia esplenomegalia; hemocultivos, urocultivo y cultivo faríngeo que resultan negativos, al igual que las cargas virales para CMV y VEB. Hisopado de lesiones bucales con resultado positivo para VEB y HHV-6. Biopsia de lesión ulcerada informa infiltrado linfocitario de inmunofenotipo predominante T mixto (CD4 y CD8 positivo), difuso en corion y con exocitosis marcada, a favor de proceso inflamatorio reactivo (Figura 2). La lesión no fue clasificada como PTLD ya que no reunía los criterios según la clasificación de la OMS, informándose compatible con un proceso inflamatorio reactivo, sin evidencia de PTLD. La detección de VEB se realizó por hibridación in situ (EBER-ISH) e inmunohistoquímica para LMP1, ambas con resultado negativo. Y la de HHV-6 se realizó por PCR en muestra de hisopado de lesiones orales. Se continúa tratamiento con ganciclovir obteniéndose mejoría de las lesiones al cuarto día de su inicio. Se disminuye inmunosupresión con dosajes de tacrolimus entre 6-8 ng/ml, se suspende micofenolato, se aumenta prednisona a 10 mg y se realiza una dosis de gammaglobulina EV 500 mg/kg. Por buena evolución clínica a los 14 días se secuencia terapia a vía oral con valganciclovir, completando 21 días totales, con resolución completa de las lesiones. Durante el seguimiento no se evidenció seroconversión para VEB.

 

Figura 1 . Lesión ulcerada profunda con exudado amarillento en encía inferior

 

Figura 2. Hematoxilina-Eosina (5X). Imagen panorámica de la lesión ulcerada, con infiltrado inflamatorio denso en la mucosa y submucosa

 

DISCUSIÓN

Este caso enfatiza la necesidad de una vigilancia continua y un abordaje diagnóstico preciso para diferenciar PTLD de infecciones agudas o reactivaciones virales en pacientes pediátricos trasplantados renales. Aunque los receptores pediátricos presentan un riesgo menor (1–3%) de desarrollar PTLD en comparación con otros tipos de trasplante, continúan enfrentando un riesgo significativo de morbimortalidad (5).

Nuestro paciente recibió ganciclovir endovenoso, una dosis de inmunoglobulina endovenosa y se ajustó el tratamiento inmunosupresor. La respuesta clínica fue favorable con defervescencia a los 3 días de internación, las lesiones comenzaron a cicatrizar al quinto día, con mejoría progresiva y resolución completa en las semanas siguientes.

Un diagnóstico diferencial cuidadoso y la identificación temprana de infecciones virales (6), como las causadas por los herpes virus, son cruciales para mejorar el manejo clínico y el pronóstico (6). En este caso, se administró ganciclovir endovenoso, considerando el compromiso de la mucosa intestinal y la posible mala absorción de antivirales orales. La respuesta clínica se mantuvo tras el paso a valganciclovir oral. La suspensión del micofenolato, la reducción de la dosis de tacrolimus y el tratamiento antiviral endovenoso fueron determinantes para la recuperación del paciente, subrayando la importancia de intervenciones rápidas y basadas en evidencia en este grupo vulnerable (7).

 

CONCLUSIÓN

Este caso se ha comunicado con la esperanza de contribuir a los conocimientos existentes sobre los pacientes con trasplante renal y las posibles complicaciones infecciosas posteriores (8). El manejo de estos continúa siendo un desafío. La identificación y tratamiento oportuno de infecciones virales son fundamentales para mejorar los resultados clínicos. Este caso demuestra que ajustes en la terapia inmunosupresora y la implementación de tratamientos antivirales pueden conducir a una recuperación exitosa en pacientes inmunocomprometidos, resaltando la necesidad de continuar investigando estrategias efectivas para el manejo y seguimiento de estos pacientes vulnerables.

Divulgación:

Se ha obtenido el permiso informado por escrito y la autorización ética del paciente para publicar los datos del caso.

 

Conflicto de Intereses:

Ninguno que declarar.

 

Financiamiento:

Ninguno.

 

BIBLIOGRAFÍA

1) McKinney EE, Raghavan R. Post-transplant lymphoproliferative disorder: A review of the literature. Transplant Proc. 2019;51(4):1172-8.

2) Mendez A, Burch K. Epstein-Barr virus and post-transplant lymphoproliferative disorder: A review. Curr Opin Infect Dis. 2020;33(3):257-63.

3) Kato K, Tsuji K. Human herpesvirus 6 and post-transplant lymphoproliferative disorder: A review. Pediatr Transplant. 2018;22(6):e13281.

4) Tzeng JI, Hwang WL. Diagnostic challenges in post-transplant lymphoproliferative disorder: The role of infectious agents. Clin Transplant. 2017;31(3):e12957.

5) Rojas M, Ríos J. Infecciones virales en trasplantes de órganos: Impacto en el diagnóstico y tratamiento. Rev Infectol. 2021;23(2):75-82.

6) Sadaria M, Amaral S. Epstein-Barr virus infection and post-transplant lymphoproliferative disorder. Pediatr Transplant. 2022;26(1):e14124. Disponible en: https://www.ncbi.nlm.nih.gov/pmc/articles/PMC9768432/.

7) Álvarez-Lerma F, et al. Efectos de la infección viral en el paciente inmunocomprometido. Enferm Infecc Microbiol Clin. 2005;23(1):38-45. Disponible en: https://www.elsevier.es/es-revista-enfermedades-infecciosas-microbiologia-clinica-28-articulo-efectos-infeccion-viral-el-paciente-13109990.

8) Fernández AM, et al. Cáncer en población pediátrica con enfermedad linfoproliferativa postrasplante renal. Nefrología. 2018;38(2):123-30. Disponible en: https://www.revistanefrologia.com/es-cancer-poblacion-pediatrica-enfermedad-linfoproliferativa-articulo-X2013757518622283.