Rev. Nefrol. Dial. Traspl.2025; 45(4):195-200

 

Trasplante renal con donante vivo

 

Casuística

 

TRASPLANTE RENAL CON DONANTE VIVO HEPATITIS CORE POSITIVO: REPORTE DE CASO

 

KIDNEY TRANSPLANT WITH HEPATITIS CORE POSITIVE LIVING DONOR: CASE REPORT

 

Luis Arellán-Bravo1,2,a,b, ORCID: 0000-0003-2390-1795 - Mail:larellan@continental.edu.pe

Alexandra Verónica Cerna Condormango 1,c, José Eduardo Vargas Agreda 1,c, Mariafernanda Gutiérrez Espinoza 1,c, María Angela Espinoza Ricaldi 1,c, Robert Freddy Leon Gonzales 1,2, a

 

1) Escuela Académico Profesional de Medicina Humana, Universidad Continental

2) Seguro Social de Salud EsSalud. Hospital Nacional Ramiro Priale Priale

a) Médico nefrólogo

b) Magister en Gestión Pública y Privada de la Salud.

c) Estudiante de Medicina

 

 

Fecha entregado: 9 de noviembre de 2024

Fecha corregido: 6 de octubre de 2025

Fecha aceptado: 16 de octubre de 2025

 

 

 

ABSTRACT

Introduction: Renal transplantation stands as the primary treatment for end-stage renal disease. Renal transplant guidelines in Peru advise against utilizing donors with positive hepatitis core, excluding them as potential donors. Nevertheless, current studies suggest that the risk of complications in these donors is minimal, and with the appropriate protocol, it does not pose a significant risk to the recipient. Case Report: This presents the first case of renal transplant conducted in Huancayo City from a hepatitis core-positive donor, with the recipient showing favorable evolution during the 6-month follow-up. Discussion: Renal transplantation from donors with positive hepatitis B core is not considered a contraindication, as multiple studies have shown low mortality rates and a positive prognosis. Conclusion: Donors with hepatitis core positivity represent an excellent choice for renal donation, and with the appropriate protocol, they should be considered as candidates for donation.

 

Keywords: Kidney Transplantation; Hepatitis B; Perú.

 

RESUMEN

Introducción: El trasplante renal es el tratamiento principal para la enfermedad renal crónica terminal. Las guías de trasplante renal en Perú sugieren evitar a los donantes con hepatitis core positivo, excluyéndolos como donantes. Aunque, estudios actuales sugieren que el riesgo de complicaciones en estos donantes es mínimo y con el protocolo apropiado, no representa riesgo significativo para el receptor. Reporte de Caso: Se presenta el caso del primer trasplante renal realizado en la ciudad de Huancayo con donante hepatitis B, core positivo; el receptor evolucionó de manera favorable durante los 6 meses de seguimiento. Discusión:El trasplante renal en donantes con hepatitis B core positivo no se considera contraindicación, según diversos estudios se ha evidenciado una baja mortalidad y buen pronóstico.  Conclusión: El donante con hepatitis B core positivo es una excelente opción para donante renal y con el protocolo adecuado debe sumarse como candidato para la donación.

 

Palabras clave: Trasplante de Riñón; Hepatitis B; Perú (DeCS-BIREME)

 

INTRODUCCIÓN

El trasplante renal de donante vivo (TRDV) es la mejor opción terapéutica, que ofrece mejores resultados, para un paciente con insuficiencia renal avanzada, tanto en términos de supervivencia de paciente e injerto, como en términos de calidad de vida (1). La prevalencia de infección por virus de hepatitis B (VHB) es mayor en receptores de trasplante renal que en la población general, siendo causa de morbimortalidad en estos pacientes (2). De esta manera, la gestión cuidadosa y el monitoreo constante de posibles infecciones virales como el VHB son fundamentales para prevenir complicaciones posteriores al trasplante y garantizar un resultado exitoso a largo plazo. Esta atención integral, que incluye estrategias de prevención, detección temprana y tratamiento adecuado, juega un papel fundamental en la preservación de la salud del receptor y en la viabilidad a largo plazo del injerto renal (3).

En la guía de Trasplante Renal del Seguro Social de Salud EsSalud, entre los criterios del donante renal se descarta el donante con presencia de Hepatitis B core positivo en un receptor negativo (4). Al igual que en la guía de práctica clínica de manejo de trasplante renal del Hospital Cayetano Heredia del Ministerio de Salud de Perú, donde refiere que los donantes serológicamente positivos para Hepatitis B anticore son excluidos (5). Esta conducta se adopta con la finalidad de reducir el riesgo de transmisión de la enfermedad durante el trasplante renal. Sin embargo, estudios recientes han planteado la posibilidad de considerar a estos donantes en circunstancias específicas (3,6). La perspectiva de utilizar riñones de donantes con anticuerpos contra el núcleo de la hepatitis B (anti-HBc) positivos para trasplantes renales ha generado debate en la comunidad médica. Algunos estudios sugieren que, especialmente en receptores que han sido previamente inmunizados contra la hepatitis B, la presencia de anti-HBc positivo en el donante no necesariamente debería ser un factor limitante al momento de seleccionar al receptor para el trasplante renal (7). Esta consideración se basa en la premisa de que los receptores inmunizados podrían tener una defensa establecida contra la infección, lo que potencialmente reduciría el riesgo de reactivación del virus tras el trasplante. No obstante, esta postura aún se encuentra en evaluación y requiere un análisis detallado de los riesgos individuales, así como un seguimiento cuidadoso para asegurar la seguridad y el éxito del procedimiento.

Se presenta el primer caso de un trasplante renal donante vivo realizado en Huancayo en el cual el donante fue core positivo con receptor negativo a marcadores de hepatitis y el cual no tuvo complicaciones durante todo el transcurso del trasplante renal.

 

REPORTE DEL CASO

Se presenta el caso de un paciente varón de 28 años, natural y procedente de La Oroya, Junín, quien presentó desde hace 7 meses disnea a pequeños esfuerzos y ortopnea, por lo cual inició automedicación por vía intramuscular durante 2 semanas (furosemida 40 mg IM cada 12 horas) sin mejoría de los síntomas; además tomó ácido fólico 5 mg VO cada 24 horas. Es así como hace 6 meses es hospitalizado por edema +++/+++ en los miembros inferiores; adicionalmente refirió orina espumosa y malestar general. En los exámenes complementarios realizados se obtiene una hemoglobina de 11,3 g/dL, un hematocrito de 34%, una urea de 93 mg/dL, una creatinina de 6,71 mg/dL y una proteinuria de +++/++++; por lo tanto, utilizando la ecuación CKD-EPI se estima la función renal de 10,7 mL/min/1,73m2. Los riñones muestran longitudes discretamente reducidas (≈84 mm en ambos) y grosor parenquimatoso de 15–15,2 mm; estos hallazgos están pequeños para la altura del individuo (1.70cm). Por lo que se establece enfermedad renal crónica. No se documenta exposición a fármacos potencialmente nefrotóxicos durante la automedicación ni el estado hemodinámico al ingreso, datos relevantes para descartar una injuria renal aguda sobreañadida a la enfermedad crónica. De acuerdo con ello, se estableció el diagnóstico de enfermedad renal crónica en estadio V y se procedió a estudios etiológicos, realizándose biopsia renal eco guiada. El examen anatomopatológico mostró 3 fragmentos de corteza y médula con 14 glomérulos, 11 globalmente esclerosados (79%); en los glomérulos viables se observó expansión/hipercelularidad mesangial (1+), rigidez segmentaria de asas capilares y esclerosis segmentaria; un glomérulo con creciente celular. Inmunofluorescencia: IgG e IgM negativas; IgA 9/9 con depósitos granulares gruesos mesangiales; C3 y C1q negativos. Se concluyó Glomerulopatía IgA con esclerosis avanzada y arterio-arterioloesclerosis moderada. Recibió corticoides por 10 días sin respuesta clínica, inició hemodiálisis (12 sesiones) y luego diálisis peritoneal. Se propuso trasplante renal con donante vivo relacionado (padre, 59 años), sin antecedentes relevantes. En histocompatibilidad, 5/6 compatibilidades (diferencia en alelo B), PRA 1% y ausencia de DSA; el receptor presentó anti-HBs >1000 mUI/mL. Las serologías del donante mostraron HBsAg no reactivo, anti-HBc IgM negativo y anti-HBc IgG positivo (infección pasada), con ADN-VHB indetectable en la evaluación pretrasplante. Estos hallazgos sustentaron la decisión de proceder al trasplante con riesgo de transmisión esperado bajo y bajo un esquema de profilaxis y monitoreo virológico.

 

Tabla 1. Estudio de histocompatibilidad donante-receptor

 

A

B

BW4

BW6

Cw

DR

DQ

DR51

DR52

DR53

RECEPTOR

2

-

35

62

-

+

1

4

4

9

8

9

-

-

+

DONANTE

2

-

35

48

-

+

8

4

4

9

8

9

-

-

+

 

 

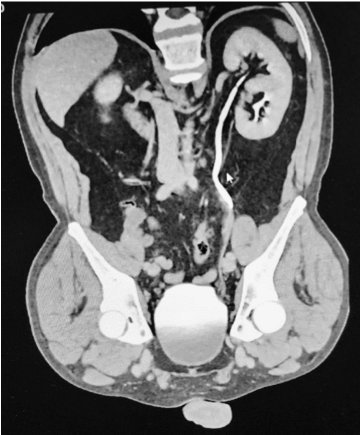
En la uro tomografía contrastada realizada, en fase excretora, se evidenció que el riñón izquierdo tenía 2 uréteres (Figura 1 y Figura 2), por lo cual se solicitó opinión del servicio de Urología, no hallándose contraindicación con el uso de ese riñón para el trasplante renal.  Posteriormente, al momento de la intervención quirúrgica, se implantaron ambos uréteres con la técnica de “cañón de escopeta” en la vejiga del receptor.

 

 Figura 1. Tomografía abdominal del donante en fase excretora

 

 

 

 

Figura 2. Riñón del donante con los 2 uréteres

 

 

 

 

La evolución del receptor fue favorable, observándose disminución de los niveles de urea y creatinina con el pasar de los días (tabla 2), llegando a valores de 0,96 mg/dL de creatinina y 31,8 mg/dL de urea al alta. El paciente fue dado de alta sin la sonda vesical mientras que el catéter ureteral fue retirado a las 3 semanas, y tratado con tacrolimus 8 mg al día, ácido micofenólico de 250 mg 4 tabletas al día y prednisona de 60 mg cada 24 horas.

El paciente fue seguido por Consultorio externo de Nefrología a los 15 días, al mes y a los 3 meses, presentando valores normales de creatinina, urea, perfil hepático, antígeno de superficie, anti-HBc total y carga viral de hepatitis B, sin complicaciones en el seguimiento.

 

 

 Tabla 2. Resultados de laboratorio durante el internamiento

 

 

DÍA previo al TR

DÍA 1

DÍA 2

DÍA 3

DÍA 4

DÍA 5

DÍA 6

1 MES POST TR

VALORES NORMALES

Hemoglobina(g/dL)

10,4

7,6

7,1

6,9

7,9

9,1

9,1

11,1

13,5 – 18,5

Leucocitos
(mm3)

6,31

6,35

3,76

5,36

6,11

6,11

9,36

8,2

4000 – 10 000

Plaquetas
(mm3)

247

173

133

187

143

251

266

270

150 000 – 450 000

Urea
(mg/dL)

105

75,3

47,4

33,8

31

33,1

31,8

28,0

10 – 50

Creatinina
(mg/dL)

5,55

3,36

1,39

1,09

1,05

0,93

0,96

0,82

0,41 – 1,10

Albúmina
(g/dL)

-

2,56

-

-

2,69

-

3,47

3,8

3,10 – 5,40

Bilirrubina total

1,1

 

 

 

 

 

 

0,8

0,1 - 1 mg/dL

TGO

14,6

 

 

 

 

 

 

12,1

5 - 32 IU/L

TGP

12,8

 

 

 

 

 

 

14,8

5 - 33 IU/L

Antígeno de superficie (HbsAg)

No Reactivo

 

 

 

 

 

 

No Reactivo

Reactivo >1,0

anti-HBc total

No Reactivo

 

 

 

 

 

 

No Reactivo

Reactivo >1,0

Carga Viral Hepatitis B

Negativo

 

 

 

 

 

 

Negativo

<200 UI/mL 

 

 

DISCUSIÓN

De acuerdo con un estudio retrospectivo realizado entre 2008 y 2014, en el cual se realizaron 111 trasplantes con donante HBsAg (+), se concluye en que la positividad del antígeno de superficie de la hepatitis B no constituye una contraindicación para la donación de riñón en donante vivo porque la mortalidad de los pacientes trasplantados que recibieron un riñón de un donante HBsAg (+) fue inferior al 4,5%; además se evidencia un buen pronóstico en los próximos 10 años postrasplante y adicionalmente no se reportaron casos de afectación hepática por VHB asociada al trasplante (8). Nuestro estudio reporta el primer caso publicado en el Perú, de un donante portador de Anticuerpo hepatitis B core positivo. En el seguimiento del receptor no se ha evidenciado daño hepático.

Por otro lado, en algunos casos de donantes que son seronegativos anti-HBc total (-), es poco frecuente que tengan infección por VHB oculta, razón por la cual el Comité Asesor sobre Prácticas de Inmunización (ACIP) ha recomendado la vacunación contra la hepatitis B para adultos en riesgo de infección por VHB desde 1982. Además, la Sociedad Estadounidense de Enfermedades Infecciosas (IDSA) y la Sociedad Estadounidense de Trasplantes (AST) recomiendan que todos los candidatos a trasplante de órganos sólidos HBsAg negativos (<10 mUI/mL) reciban la vacuna contra la hepatitis B (9). El paciente receptor renal, en este caso presentaba más de 1000 mUI/mL por lo que se cumplió con las recomendaciones.

En pacientes que no han sido previamente infectados por el virus de la hepatitis B (VHB) y que reciben un trasplante renal de un donante con infección crónica o pasada por VHB, el objetivo principal radica en prevenir la infección de novo por el VHB. Si bien el riesgo de infección de novo generalmente es bajo, no se descarta por completo. Por lo general, se sugiere que los receptores sin infección o inmunidad previa por VHB eviten recibir un trasplante renal de donantes con infección crónica por VHB debido a la posibilidad de que el receptor adquiera la infección de novo. Sin embargo, en casos de urgencia, como cuando se necesita salvar la vida del paciente (por ejemplo, debido a la falta de acceso a la diálisis), se podría considerar dicho trasplante. En estas situaciones, es fundamental que los receptores reciban terapia antiviral y posiblemente inmunoglobulina anti-hepatitis B (HBIG) para prevenir la infección de novo (9). En nuestro caso el donante tenía HbsAg negativo y carga viral negativa, solo la infección pasada, por lo que no requirió tratamiento previo.

Para reducir aún más el riesgo de infección de novo por VHB, se recomienda la terapia antiviral profiláctica, siendo las opciones preferidas el entecavir y el tenofovir. El inicio de esta terapia debe ser simultáneo al trasplante. El entecavir y el tenofovir se prefieren sobre la lamivudina, que solía ser la base del tratamiento, debido a la alta tasa de resistencia que puede desarrollarse con el uso prolongado de lamivudina. En cuanto a la administración de HBIG, ésta se indica en casos donde el donante presenta infección crónica por VHB y HBsAg positivo o si el donante tiene una infección previa por VHB (HBsAg negativo, anti-HBc positivo) y se desconoce el estado del ADN del VHB. Este enfoque busca proporcionar inmunidad pasiva para cubrir un período de riesgo, similar a su uso en otras situaciones de prevención de la hepatitis B (10). En nuestro caso el donante renal, presentaba ADN carga viral negativa, por lo que no requirió terapia antiviral profiláctica.

En individuos con inmunidad previa a través de infección o vacunación, se evalúa el nivel de anti-HBs antes de interrumpir el tratamiento antiviral, y se administra una dosis de refuerzo de la vacuna si el nivel es < 10 mUI/mL. Mantener un nivel protector de anti-HBs (es decir, >100 mUI/mL) se ha asociado con resultados positivos en el trasplante y con la prevención de la infección por VHB de novo en receptores de trasplantes renales de donantes HBsAg positivos. Además, mantener un nivel protector de anti-HBs en pacientes con trasplante de riñón en regiones endémicas del VHB reduciría su riesgo de adquirir el virus en la comunidad (11). Nuestro paciente presentaba niveles de >1000 mUI/mL, debido a que recibió las 3 dosis completas de la vacuna contra la hepatitis B, por lo que presentaba protección contra el virus.

En la preparación pre-trasplante, un hallazgo no frecuente que llamó la atención fue la duplicación del uréter renal. La duplicación del sistema colector renal es la anomalía congénita más frecuente (generalmente asintomática) llegando a presentarse hasta en un 1% en la población, y puede clasificarse en duplicación completa o parcial, siendo esta última la más frecuente.

En nuestro caso, presentó la duplicación total del sistema colector, con dos sistemas pielocaliciales separados (superior e inferior) y dos uréteres (12). Este hallazgo no contraindicó la donación y fue resuelto durante la cirugía del trasplante. Un estudio de casos y controles realizado desde 1995 hasta 2012, mencionó que de 12 trasplantes renales con sistema dúplex en los donantes, a 7 pacientes se les realizó anastomosis por separado a cada uréter para unirlos a la vejiga en dos puntos distintos mientras que a 4 pacientes se les creó un ostium común y en 1 paciente se ligó uno de los dos uréteres. Este estudio concluye en que un riñón de donante de doble sistema pielocalicial no se asocia con una mayor tasa de complicaciones después del trasplante renal y produce resultados iguales en comparación con los riñones de donante de un solo uréter, es decir que el trasplante de un riñón con uréter duplicado es seguro (13).

 

CONCLUSIONES

Se muestra el primer caso reportado en nuestro país de un trasplante renal donante vivo con un donante portador de Ac hepatitis B core positivo, el cual no presentó problemas durante todo el trascurso del trasplante. Se sugiere reformular las guías peruanas adaptándolas a las sugerencias actuales internacionales, para ampliar el número de donantes, sabiendo que las tasas de donación en nuestro país son muy bajas comparadas con el resto del mundo.

 

Responsabilidades Éticas: Se cumplieron con todos los criterios éticos y consentimiento informado.

 

Conflictos de Interés: Los autores declaran no tener conflictos de interés. Fuente de financiamiento: Autofinanciado.

 

Agradecimientos

Al Dr. Félix Ortega Álvarez, por su motivación para continuar con los trasplantes renales en la Ciudad de Huancayo y seguir siendo el principal hospital trasplantador en provincia, especialmente en estos casos de manejo complicado, también a todos los pacientes renales que nos motivan cada día a seguir trabajando por ellos.

 

 

BIBLIOGRAFÍA

1) Frutos MÁ, Crespo M, Valentín M de la O, Alonso-Melgar Á, Alonso J, Fernández C, et al. Recomendaciones para el trasplante renal de donante vivo. Nefrología. 1 de abril de 2022; 42:1-128. doi: 10.1016/j.nefro.2021.10.002.

2) Thabut D, Thibault V, Bernard-Chabert B, Mouquet C, Di Martino V, Le Calvez S, et al. Long-term therapy with lamivudine in renal transplant recipients with chronic hepatitis B: Eur J Gastroenterol Hepatol. Diciembre de 2004;16(12):1367-73. doi: 10.1097/00042737-200412000-00022.

3) Prevención de la infección por el virus de la hepatitis B en el trasplante hepático y renal [Internet]. [citado 18 de diciembre de 2023]. Disponible en: https://www.revistanefrologia.com/es-pdf-X2013757513003242. doi: 10.3265/NefrologiaSuplementoExtraordinario.pre2013.Apr.12082.

4) Gerencia Central De Prestaciones De Salud, Oficina De Trasplante Y Procura. Protocolo de Trasplante Renal en EsSalud. EsSalud; 2007.

5) Hospital Cayetano Heredia. Guía de práctica clínica de manejo de trasplante renal adulto [Internet]. Lima (PE): Hospital Cayetano Heredia; 2021 [citado 8 oct 2025]. Resolución Directoral N°439-2021-HCH/06. Disponible en: https://www.hospitalcayetano.gob.pe/PortalWeb/wp-content/uploads/resoluciones/2021/RD/RD_439-2021-HCH-DG.pdf.

6) Mahboobi N, Tabatabaei SV, Blum HE, Alavian SM. Renal grafts from antihepatitis B corepositive donors: a quantitative review of the literature. Transpl Infect Dis. Octubre de 2012;14(5):445-51. doi: 10.1111/j.1399-3062.2012.00782.

7) Cruz J. Trasplante Renal con Donantes Anti-HBc Positivo. 1 de enero de 2000 [citado 18 de diciembre de 2023]; Disponible en: https://www.academia.edu/24413500/Trasplante_Renal_con_Donantes_Anti_HBc_Positivo.

8) Asuman Yavuz H, Tekin S, Yuksel Y, Ateş I, Yucetin L, Demir M, et al. Donors with Hepatitis B Surface Antigen Positivity. Transplant Proc. junio de 2015;47(5):1312-4. doi: 10.1016/j.transproceed.2015.04.014.

9) Jones JM, Kracalik I, Levi ME, Bowman JS, Berger JJ, Bixler D, et al. Assessing Solid Organ Donors and Monitoring Transplant Recipients for Human Immunodeficiency Virus, Hepatitis B Virus, and Hepatitis C Virus Infection — U.S. Public Health Service Guideline, 2020. MMWR Recomm Rep. 26 de junio de 2020;69(4):1-16. doi: 10.15585/mmwr. rr6904a1.

10) Wang X ding, Liu J peng, Song T run, Huang Z li, Fan Y, Shi Y ying, et al. Kidney Transplantation from Hepatitis B Surface Antigen (HBsAg)–Positive Living Donors to HBsAg-Negative Recipients: Clinical Outcomes at a High-Volume Center in China. Clin Infect Dis. 15 de marzo de 2021;72(6):1016-23. doi: 10.1093/cid/ciaa178.

11) Chancharoenthana W, Townamchai N, Pongpirul K, Kittiskulnam P, Leelahavanichkul A, Avihingsanon Y, et al. The Outcomes of Kidney Transplantation in Hepatitis B Surface Antigen (HBsAg)–Negative Recipients Receiving Graft from.

12) HBsAg-Positive Donors: A Retrospective, Propensity Score-Matched Study. I am J Transplant. Diciembre de 2014;14(12):2814-20. doi: 10.1111/ajt.12921.

13) Rodriguez MM. Congenital Anomalies of the Kidney and the Urinary Tract. Fetal Pediatr Pathol. Octubre de 2014;33(5-6):293-320. doi: 10.3109/15513815.2014.959678.